Phone:
+1 877 302 8632
Fax:
+1 888 205 9894 (Toll-free)
E-Mail:
orders@antibodies-online.com

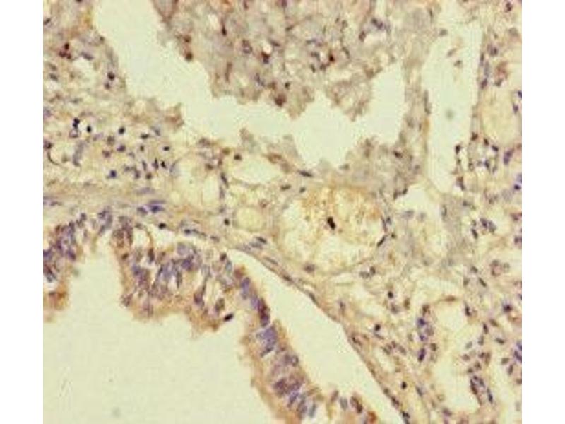
TMEM64 antibody (AA 40-118)

This Rabbit Polyclonal antibody specifically detects TMEM64 in ELISA, WB and IHC. It exhibits reactivity toward Human.
Catalog No. ABIN7173257
$394.68
Plus shipping costs $50.00
Shipping to: United States
Delivery in 13 to 17 Business Days

Quick Overview for TMEM64 antibody (AA 40-118) (ABIN7173257)

Target

TMEM64 (Transmembrane Protein 64 (TMEM64))

Reactivity

  • 6
  • 2
Human

Host

  • 6
Rabbit

Clonality

  • 6
Polyclonal

Conjugate

  • 2
  • 2
  • 1
  • 1
This TMEM64 antibody is un-conjugated

Application

ELISA, Western Blotting (WB), Immunohistochemistry (IHC)
  • Binding Specificity

    • 5
    • 1
    AA 40-118

    Purpose

    TMEM64 Antibody

    Cross-Reactivity

    Mouse

    Purification

    Protein G purified

    Purity

    >95 %

    Immunogen

    Recombinant Human Transmembrane protein 64 protein (40-118AA)

    Isotype

    IgG
  • Application Notes

    Optimal working dilution should be determined by the investigator.

    Restrictions

    For Research Use only
  • Format

    Liquid

    Buffer

    Preservative: 0.03 % Proclin 300
    Constituents: 50 % Glycerol, 0.01M PBS, PH 7.4

    Preservative

    ProClin

    Precaution of Use

    This product contains ProClin: a POISONOUS AND HAZARDOUS SUBSTANCE which should be handled by trained staff only.

    Storage

    -20 °C,-80 °C

    Storage Comment

    Upon receipt, store at -20°C or -80°C. Avoid repeated freeze.
  • Target

    TMEM64 (Transmembrane Protein 64 (TMEM64))

    Alternative Name

    TMEM64

    Background

    Background: Positively regulates TNFSF11-induced osteoclast differentiation. Acts as a regulator of TNFSF11-mediated Ca(2+) signaling pathways via its interaction with SERCA2 which is critical for the TNFSF11-induced CREB1 activation and mitochondrial ROS generation necessary for proper osteoclast generation. Association between TMEM64 and SERCA2 in the ER leads to cytosolic Ca (2+) spiking for activation of NFATC1 and production of mitochondrial ROS, thereby triggering Ca (2+) signaling cascades that promote osteoclast differentiation and activation. Negatively regulates osteoblast differentiation and positively regulates adipocyte differentiation via modulation of the canonical Wnt signaling pathway. Mediates the switch in lineage commitment to osteogenesis rather than to adipogenesis in mesenchymal stem cells by negatively regulating the expression, activity and nuclear localization of CTNNB1.

    Aliases: TMEM64 antibody, TMM64_HUMAN antibody, Transmembrane protein 64 antibody

    UniProt

    Q6YI46
You are here:
Chat with us!