Phone:
+1 877 302 8632
Fax:
+1 888 205 9894 (Toll-free)
E-Mail:
orders@antibodies-online.com

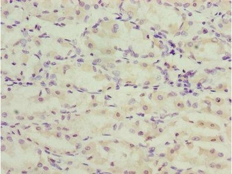
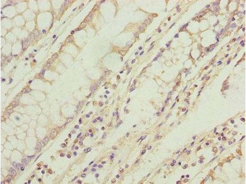
TMEM71 antibody (AA 1-210)

This Rabbit Polyclonal antibody specifically detects TMEM71 in ELISA, WB and IHC. It exhibits reactivity toward Human.
Catalog No. ABIN7173269
$328.90
Plus shipping costs $50.00
Shipping to: United States
Delivery in 13 to 17 Business Days

Quick Overview for TMEM71 antibody (AA 1-210) (ABIN7173269)

Target

TMEM71 (Transmembrane Protein 71 (TMEM71))

Reactivity

  • 5
  • 1
Human

Host

  • 5
Rabbit

Clonality

  • 5
Polyclonal

Conjugate

  • 2
  • 1
  • 1
  • 1
This TMEM71 antibody is un-conjugated

Application

ELISA, Western Blotting (WB), Immunohistochemistry (IHC)
  • Binding Specificity

    • 4
    • 1
    AA 1-210

    Purpose

    TMEM71 Antibody

    Purification

    Antigen Affinity Purified

    Immunogen

    Recombinant Human Transmembrane protein 71 protein (1-210AA)

    Isotype

    IgG
  • Application Notes

    Optimal working dilution should be determined by the investigator.

    Restrictions

    For Research Use only
  • Format

    Liquid

    Buffer

    Preservative: 0.03 % Proclin 300
    Constituents: 50 % Glycerol, 0.01M PBS, PH 7.4

    Preservative

    ProClin

    Precaution of Use

    This product contains ProClin: a POISONOUS AND HAZARDOUS SUBSTANCE which should be handled by trained staff only.

    Storage

    -20 °C,-80 °C

    Storage Comment

    Upon receipt, store at -20°C or -80°C. Avoid repeated freeze.
  • Target

    TMEM71 (Transmembrane Protein 71 (TMEM71))

    Alternative Name

    TMEM71

    Background

    TMEM71 antibody, TMM71_HUMAN antibody, Transmembrane protein 71 antibody

    UniProt

    Q6P5X7
You are here:
Chat with us!