Phone:
+1 877 302 8632
Fax:
+1 888 205 9894 (Toll-free)
E-Mail:
orders@antibodies-online.com

TRMT112 antibody (AA 1-125)

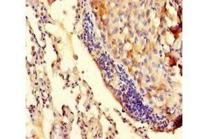
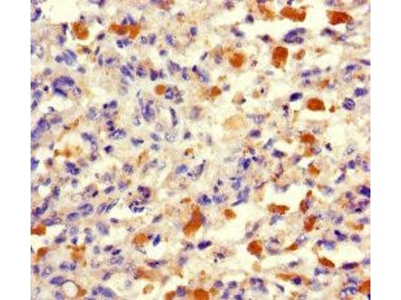
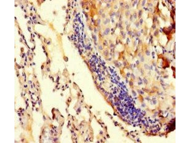
This Rabbit Polyclonal antibody specifically detects TRMT112 in ELISA and IHC. It exhibits reactivity toward Human.
Catalog No. ABIN7173512
$394.68
Plus shipping costs $50.00
Shipping to: United States
Delivery in 13 to 17 Business Days

Quick Overview for TRMT112 antibody (AA 1-125) (ABIN7173512)

Target

See all TRMT112 Antibodies
TRMT112 (tRNA Methyltransferase 11-2 (TRMT112))

Reactivity

  • 20
  • 9
Human

Host

  • 17
  • 3
Rabbit

Clonality

  • 18
  • 2
Polyclonal

Conjugate

  • 7
  • 3
  • 2
  • 2
  • 1
  • 1
  • 1
  • 1
  • 1
  • 1
This TRMT112 antibody is un-conjugated

Application

  • 8
  • 8
  • 1
  • 1
ELISA, Immunohistochemistry (IHC)
  • Binding Specificity

    • 8
    • 1
    • 1
    AA 1-125

    Purpose

    TRMT112 Antibody

    Purification

    Protein G purified

    Purity

    >95 %

    Immunogen

    Recombinant Human tRNA methyltransferase 112 homolog protein (1-125AA)

    Isotype

    IgG
  • Application Notes

    Optimal working dilution should be determined by the investigator.

    Restrictions

    For Research Use only
  • Format

    Liquid

    Buffer

    Preservative: 0.03 % Proclin 300
    Constituents: 50 % Glycerol, 0.01M PBS, PH 7.4

    Preservative

    ProClin

    Precaution of Use

    This product contains ProClin: a POISONOUS AND HAZARDOUS SUBSTANCE which should be handled by trained staff only.

    Storage

    -20 °C,-80 °C

    Storage Comment

    Upon receipt, store at -20°C or -80°C. Avoid repeated freeze.
  • Target

    TRMT112 (tRNA Methyltransferase 11-2 (TRMT112))

    Alternative Name

    TRMT112

    Background

    Background: Participates both in methylation of protein and tRNA species. The heterodimer with HEMK2/N6AMT1 catalyzes N5-methylation of ETF1 on \'Gln-185\', using S-adenosyl L-methionine as methyl donor. The heterodimer with ALKBH8 catalyzes the methylation of 5-carboxymethyl uridine to 5-methylcarboxymethyl uridine at the wobble position of the anticodon loop in target tRNA species.

    Aliases: TRMT112 antibody, AD-001 antibody, HSPC152 antibody, HSPC170 antibody, Multifunctional methyltransferase subunit TRM112-like protein antibody, tRNA methyltransferase 112 homolog antibody

    UniProt

    Q9UI30
You are here:
Chat with us!