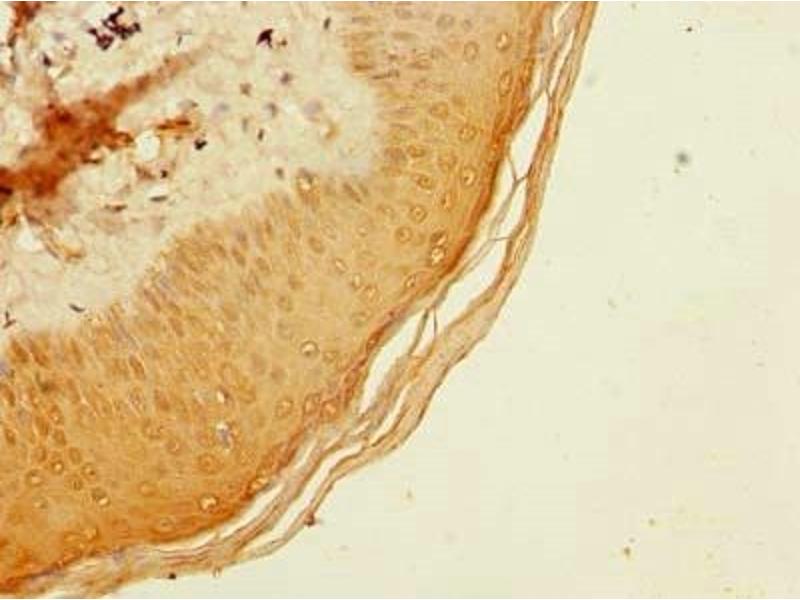
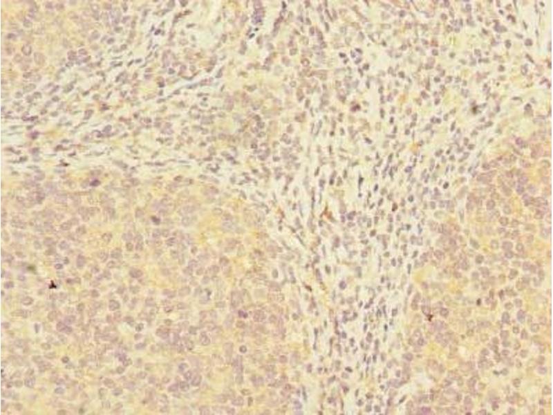
ADAT1 antibody (AA 1-501)
Quick Overview for ADAT1 antibody (AA 1-501) (ABIN7173532)
Target
See all ADAT1 AntibodiesReactivity
Host
Clonality
Conjugate
Application
-
-
Binding Specificity
- AA 1-501
-
Purpose
- ADAT1 Antibody
-
Purification
- Protein G purified
-
Purity
- >95 %
-
Immunogen
- Recombinant Human tRNA-specific adenosine deaminase 1 protein (1-501AA)
-
Isotype
- IgG
-
-
-
-
Application Notes
- Optimal working dilution should be determined by the investigator.
-
Restrictions
- For Research Use only
-
-
-
Format
- Liquid
-
Buffer
-
Preservative: 0.03 % Proclin 300
Constituents: 50 % Glycerol, 0.01M PBS, PH 7.4 -
Preservative
- ProClin
-
Precaution of Use
- This product contains ProClin: a POISONOUS AND HAZARDOUS SUBSTANCE which should be handled by trained staff only.
-
Storage
- -20 °C,-80 °C
-
Storage Comment
- Upon receipt, store at -20°C or -80°C. Avoid repeated freeze.
-
-
- ADAT1 (Adenosine Deaminase, tRNA-Specific 1 (ADAT1))
-
Alternative Name
- ADAT1
-
Background
-
Background: Specifically deaminates adenosine-37 to inosine in tRNA-Ala.
Aliases: ADAT 1 antibody, ADAT1 antibody, ADAT1_HUMAN antibody, Adenosine deaminase acting on tRNA antibody, Adenosine deaminase tRNA specific 1 antibody, hADAT1 antibody, tRNA specific adenosine deaminase 1 antibody, tRNA-specific adenosine deaminase 1 antibody, tRNA-specific adenosine-37 deaminase antibody
-
UniProt
- Q9BUB4
Target
-