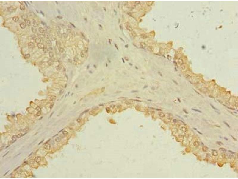
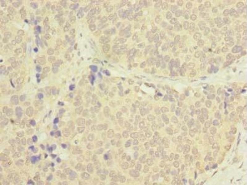
TSACC/C1orf182 antibody (AA 1-125)
Quick Overview for TSACC/C1orf182 antibody (AA 1-125) (ABIN7173631)
Target
Reactivity
Host
Clonality
Conjugate
Application
-
-
Binding Specificity
- AA 1-125
-
Purpose
- TSACC Antibody
-
Purification
- Protein G purified
-
Purity
- >95 %
-
Immunogen
- Recombinant Human TSSK6-activating co-chaperone protein (1-125AA)
-
Isotype
- IgG
-
-
-
-
Application Notes
- Optimal working dilution should be determined by the investigator.
-
Restrictions
- For Research Use only
-
-
-
Format
- Liquid
-
Buffer
-
Preservative: 0.03 % Proclin 300
Constituents: 50 % Glycerol, 0.01M PBS, PH 7.4 -
Preservative
- ProClin
-
Precaution of Use
- This product contains ProClin: a POISONOUS AND HAZARDOUS SUBSTANCE which should be handled by trained staff only.
-
Storage
- -20 °C,-80 °C
-
Storage Comment
- Upon receipt, store at -20°C or -80°C. Avoid repeated freeze.
-
-
- TSACC/C1orf182 (TSACC) (TSSK6 Activating Co-Chaperone (TSACC))
-
Alternative Name
- TSACC
-
Background
-
Background: Co-chaperone that facilitates HSP-mediated activation of TSSK6.
Aliases: TSACC antibody, C1orf182 antibody, TSSK6-activating co-chaperone protein antibody, SSTK-interacting protein antibody, SSTK-IP antibody
-
UniProt
- Q96A04
Target
-