Phone:
+1 877 302 8632
Fax:
+1 888 205 9894 (Toll-free)
E-Mail:
orders@antibodies-online.com

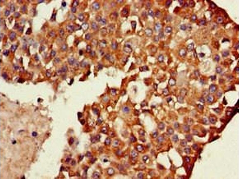
TXK antibody (AA 32-83)

This Rabbit Polyclonal antibody specifically detects TXK in ELISA, WB, IHC and IF. It exhibits reactivity toward Human.
Catalog No. ABIN7174076
$394.68
Plus shipping costs $50.00
Shipping to: United States
Delivery in 13 to 17 Business Days

Quick Overview for TXK antibody (AA 32-83) (ABIN7174076)

Target

See all TXK Antibodies
TXK (TXK tyrosine Kinase (TXK))

Reactivity

  • 20
  • 3
  • 2
Human

Host

  • 17
  • 3
  • 1
Rabbit

Clonality

  • 18
  • 3
Polyclonal

Conjugate

  • 12
  • 3
  • 2
  • 2
  • 1
  • 1
This TXK antibody is un-conjugated

Application

  • 15
  • 15
  • 11
  • 3
  • 2
  • 2
  • 1
  • 1
  • 1
ELISA, Western Blotting (WB), Immunohistochemistry (IHC), Immunofluorescence (IF)
  • Binding Specificity

    • 7
    • 5
    • 3
    • 2
    • 1
    • 1
    • 1
    • 1
    AA 32-83

    Purpose

    TXK Antibody

    Cross-Reactivity

    Rat

    Purification

    Protein G purified

    Purity

    >95 %

    Immunogen

    Recombinant Human Tyrosine-protein kinase TXK protein (32-83AA)

    Isotype

    IgG
  • Application Notes

    Optimal working dilution should be determined by the investigator.

    Restrictions

    For Research Use only
  • Format

    Liquid

    Buffer

    Preservative: 0.03 % Proclin 300
    Constituents: 50 % Glycerol, 0.01M PBS, pH 7.4

    Preservative

    ProClin

    Precaution of Use

    This product contains ProClin: a POISONOUS AND HAZARDOUS SUBSTANCE which should be handled by trained staff only.

    Storage

    -20 °C,-80 °C

    Storage Comment

    Upon receipt, store at -20°C or -80°C. Avoid repeated freeze.
  • Target

    TXK (TXK tyrosine Kinase (TXK))

    Alternative Name

    TXK

    Background

    Background: Non-receptor tyrosine kinase that plays a redundant role with ITK in regulation of the adaptive immune response. Regulates the development, function and differentiation of conventional T-cells and nonconventional NKT-cells. When antigen presenting cells (APC) activate T-cell receptor (TCR), a series of phosphorylation lead to the recruitment of TXK to the cell membrane, where it is phosphorylated at Tyr-420. Phosphorylation leads to TXK full activation. Contributes also to signaling from many receptors and participates in multiple downstream pathways, including regulation of the actin cytoskeleton. Like ITK, can phosphorylate PLCG1, leading to its localization in lipid rafts and activation, followed by subsequent cleavage of its substrates. In turn, the endoplasmic reticulum releases calcium in the cytoplasm and the nuclear activator of activated T-cells (NFAT) translocates into the nucleus to perform its transcriptional duty. With PARP1 and EEF1A1, TXK forms a complex that acts as a T-helper 1 (Th1) cell-specific transcription factor and binds the promoter of IFNG to directly regulate its transcription, and is thus involved importantly in Th1 cytokine production. Phosphorylates both PARP1 and EEF1A1. Phosphorylates also key sites in LCP2 leading to the up-regulation of Th1 preferred cytokine IL-2. Phosphorylates \\\'Tyr-201\\\' of CTLA4 which leads to the association of PI-3 kinase with the CTLA4 receptor.

    Aliases: BTKL antibody, EC 2.7.10.2 antibody, MGC22473 antibody, Protein-tyrosine kinase 4 antibody, PSCTK5 antibody, PTK4 antibody, Resting lymphocyte kinase antibody, RLK antibody, TKL antibody, TXK antibody, TXK tyrosine kinase antibody, TXK_HUMAN antibody, Tyrosine protein kinase TXK antibody, Tyrosine-protein kinase TXK antibody

    UniProt

    P42681

    Pathways

    Regulation of Leukocyte Mediated Immunity, Hepatitis C
You are here:
Chat with us!