Phone:
+1 877 302 8632
Fax:
+1 888 205 9894 (Toll-free)
E-Mail:
orders@antibodies-online.com

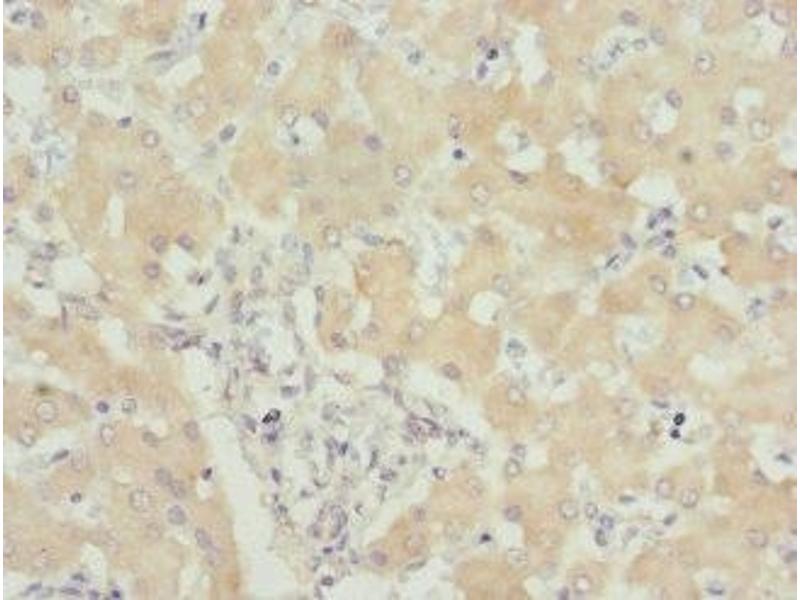
USP26 antibody (AA 664-913)

The Rabbit Polyclonal anti-USP26 antibody (ABIN7174300) specifically detects USP26 in WB, ELISA and IHC. The antibody is reactive with Human samples.
Catalog No. ABIN7174300
$394.68
Plus shipping costs $50.00
Shipping to: United States
Delivery in 13 to 17 Business Days

Quick Overview for USP26 antibody (AA 664-913) (ABIN7174300)

Target

See all USP26 Antibodies
USP26 (Ubiquitin Specific Peptidase 26 (USP26))

Reactivity

  • 15
  • 3
  • 2
  • 1
Human

Host

  • 13
  • 2
Rabbit

Clonality

  • 13
  • 2
Polyclonal

Conjugate

  • 10
  • 1
  • 1
  • 1
  • 1
  • 1
This USP26 antibody is un-conjugated

Application

  • 12
  • 9
  • 7
  • 1
  • 1
  • 1
Western Blotting (WB), ELISA, Immunohistochemistry (IHC)
  • Binding Specificity

    • 10
    • 2
    • 1
    • 1
    • 1
    • 1
    AA 664-913

    Purpose

    USP26 Antibody

    Cross-Reactivity

    Mouse

    Purification

    Antigen Affinity Purified

    Immunogen

    Recombinant Human Ubiquitin carboxyl-terminal hydrolase 26 protein (664-913AA)

    Isotype

    IgG
  • Application Notes

    Optimal working dilution should be determined by the investigator.

    Restrictions

    For Research Use only
  • Format

    Liquid

    Buffer

    PBS with 0.02 % sodium azide, 50 % glycerol, pH 7.3.

    Preservative

    Sodium azide

    Precaution of Use

    This product contains Sodium azide: a POISONOUS AND HAZARDOUS SUBSTANCE which should be handled by trained staff only.

    Storage

    -20 °C,-80 °C

    Storage Comment

    Upon receipt, store at -20°C or -80°C. Avoid repeated freeze.
  • Target

    USP26 (Ubiquitin Specific Peptidase 26 (USP26))

    Alternative Name

    USP26

    Background

    Background: Involved in the ubiquitin-dependent proteolytic pathway in conjunction with the 26S proteasome (By similarity). Deubiquitinates the androgen receptor and regulates the androgen receptor signaling pathway.

    Aliases: Deubiquitinating enzyme 26 antibody, MGC120066 antibody, MGC120067 antibody, MGC120068 antibody, Ubiquitin carboxyl terminal hydrolase 26 antibody, Ubiquitin carboxyl-terminal hydrolase 26 antibody, Ubiquitin specific peptidase 26 antibody, Ubiquitin specific processing protease 26 antibody, Ubiquitin specific protease 26 antibody, Ubiquitin thioesterase 26 antibody, Ubiquitin thiolesterase 26 antibody, Ubiquitin-specific-processing protease 26 antibody, UBP26_HUMAN antibody, USP 26 antibody, USP26 antibody

    UniProt

    Q9BXU7
You are here:
Chat with us!