Phone:
+1 877 302 8632
Fax:
+1 888 205 9894 (Toll-free)
E-Mail:
orders@antibodies-online.com

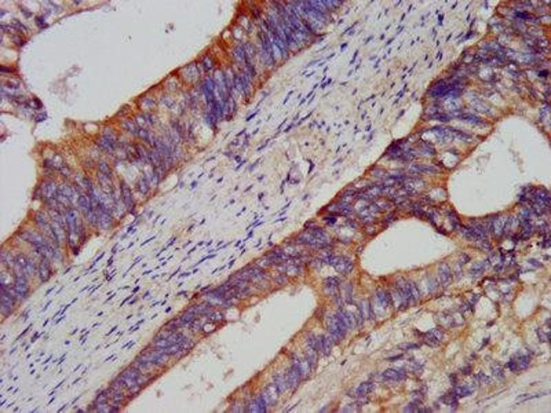
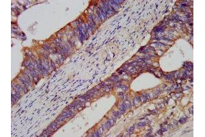
USP37 antibody (AA 671-797)

The Rabbit Polyclonal anti-USP37 antibody (ABIN7174324) specifically detects USP37 in ELISA and IHC. The antibody is reactive with Human samples.
Catalog No. ABIN7174324
$394.68
Plus shipping costs $50.00
Shipping to: United States
Delivery in 13 to 17 Business Days

Quick Overview for USP37 antibody (AA 671-797) (ABIN7174324)

Target

See all USP37 Antibodies
USP37 (Ubiquitin Specific Peptidase 37 (USP37))

Reactivity

  • 32
  • 5
  • 4
  • 3
  • 3
  • 2
  • 2
  • 2
  • 1
  • 1
  • 1
  • 1
  • 1
  • 1
Human

Host

  • 32
Rabbit

Clonality

  • 32
Polyclonal

Conjugate

  • 21
  • 3
  • 3
  • 3
  • 1
  • 1
This USP37 antibody is un-conjugated

Application

  • 20
  • 18
  • 7
  • 4
  • 3
  • 2
  • 2
  • 1
  • 1
ELISA, Immunohistochemistry (IHC)
  • Binding Specificity

    • 8
    • 7
    • 7
    • 3
    • 2
    • 2
    • 1
    • 1
    • 1
    • 1
    • 1
    AA 671-797

    Purpose

    USP37 Antibody

    Purification

    Protein G purified

    Purity

    >95 %

    Immunogen

    Recombinant Human Ubiquitin carboxyl-terminal hydrolase 37 protein (671-797AA)

    Isotype

    IgG
  • Application Notes

    Optimal working dilution should be determined by the investigator.

    Restrictions

    For Research Use only
  • Format

    Liquid

    Buffer

    Preservative: 0.03 % Proclin 300
    Constituents: 50 % Glycerol, 0.01M PBS, pH 7.4

    Preservative

    ProClin

    Precaution of Use

    This product contains ProClin: a POISONOUS AND HAZARDOUS SUBSTANCE which should be handled by trained staff only.

    Storage

    -20 °C,-80 °C

    Storage Comment

    Upon receipt, store at -20°C or -80°C. Avoid repeated freeze.
  • Target

    USP37 (Ubiquitin Specific Peptidase 37 (USP37))

    Alternative Name

    USP37

    Background

    Background: Deubiquitinase that antagonizes the anaphase-promoting complex (APC/C) during G1/S transition by mediating deubiquitination of cyclin-A (CCNA1 and CCNA2), thereby promoting S phase entry. Specifically mediates deubiquitination of \\\'Lys-11\\\'-linked polyubiquitin chains, a specific ubiquitin-linkage type mediated by the APC/C complex. Also mediates deubiquitination of \\\'Lys-48\\\'-linked polyubiquitin chains in vitro. Phosphorylation at Ser-628 during G1/S phase maximizes the deubiquitinase activity, leading to prevent degradation of cyclin-A (CCNA1 and CCNA2) (PubMed:21596315). Plays an important role in the regulation of DNA replication by stabilizing the licensing factor CDT1 (PubMed:27296872).

    Aliases: Deubiquitinating enzyme 3 antibody, Deubiquitinating enzyme 37 antibody, EC 3.1.2.15 antibody, KIAA1594 antibody, MGC117261 antibody, OTTHUMP00000164146 antibody, tmp_locus_50 antibody, Ubiquitin carboxyl-terminal hydrolase 37 antibody, Ubiquitin specific peptidase 37 antibody, Ubiquitin specific processing protease 37 antibody, Ubiquitin specific protease 37 antibody, Ubiquitin thioesterase 37 antibody, Ubiquitin thiolesterase 37 antibody, Ubiquitin-specific-processing protease 37 antibody, UBP37_HUMAN antibody, USP37 antibody

    UniProt

    Q86T82
You are here:
Chat with us!