Phone:
+1 877 302 8632
Fax:
+1 888 205 9894 (Toll-free)
E-Mail:
orders@antibodies-online.com

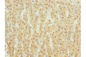
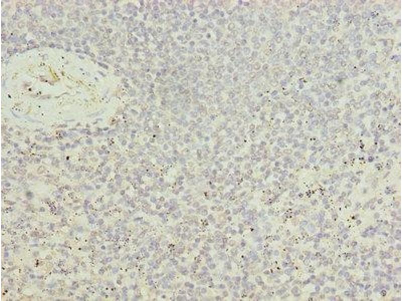
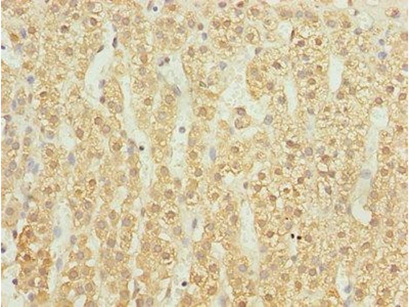
UBASH3B antibody (AA 1-300)

The Rabbit Polyclonal anti-UBASH3B antibody (ABIN7174417) specifically detects UBASH3B in IHC and ELISA. The antibody is reactive with Human samples.
Catalog No. ABIN7174417
$394.68
Plus shipping costs $50.00
Shipping to: United States
Delivery in 13 to 17 Business Days

Quick Overview for UBASH3B antibody (AA 1-300) (ABIN7174417)

Target

See all UBASH3B (STS1) Antibodies
UBASH3B (STS1) (Cbl-Interacting Protein Sts-1 (STS1))

Reactivity

  • 17
  • 9
  • 8
  • 2
  • 2
  • 2
  • 2
  • 1
  • 1
  • 1
Human

Host

  • 12
  • 3
  • 3
Rabbit

Clonality

  • 16
  • 2
Polyclonal

Conjugate

  • 18
This UBASH3B antibody is un-conjugated

Application

  • 15
  • 9
  • 7
  • 7
  • 4
  • 2
  • 1
  • 1
Immunohistochemistry (IHC), ELISA
  • Binding Specificity

    • 3
    • 3
    • 1
    • 1
    • 1
    • 1
    • 1
    • 1
    AA 1-300

    Purpose

    UBASH3B Antibody

    Purification

    Antigen Affinity Purified

    Immunogen

    Recombinant Human Ubiquitin-associated and SH3 domain-containing protein B protein (1-300AA)

    Isotype

    IgG
  • Application Notes

    Optimal working dilution should be determined by the investigator.

    Restrictions

    For Research Use only
  • Format

    Liquid

    Buffer

    PBS with 0.02 % sodium azide, 50 % glycerol, pH 7.3.

    Preservative

    Sodium azide

    Precaution of Use

    This product contains Sodium azide: a POISONOUS AND HAZARDOUS SUBSTANCE which should be handled by trained staff only.

    Storage

    -20 °C,-80 °C

    Storage Comment

    Upon receipt, store at -20°C or -80°C. Avoid repeated freeze.
  • Target

    UBASH3B (STS1) (Cbl-Interacting Protein Sts-1 (STS1))

    Alternative Name

    UBASH3B

    Background

    Background: Interferes with CBL-mediated down-regulation and degradation of receptor-type tyrosine kinases. Promotes accumulation of activated target receptors, such as T-cell receptors and EGFR, on the cell surface. Exhibits tyrosine phosphatase activity toward several substrates including EGFR, FAK, SYK, and ZAP70. Down-regulates proteins that are dually modified by both protein tyrosine phosphorylation and ubiquitination.

    Aliases: Cbl interacting protein p70 antibody, Cbl interacting protein Sts 1 antibody, Cbl interacting protein Sts1 antibody, Cbl-interacting protein p70 antibody, KIAA1959 antibody, MGC15437 antibody, Nm23 phosphorylated unknown substrate antibody, p70 antibody, SH3 domain containing 70 kDa protein antibody, Sts 1 antibody, STS-1 antibody, STS1 antibody, Suppressor of T cell receptor signaling 1 antibody, Suppressor of T-cell receptor signaling 1 antibody, T-cell ubiquitin ligand 2 antibody, TULA-2 antibody, Tyrosine-protein phosphatase STS1/TULA2 antibody, Ubash3b antibody, Ubiquitin associated and SH3 domain containing B antibody, Ubiquitin-associated and SH3 domain-containing protein B antibody, UBS3B_HUMAN antibody

    UniProt

    Q8TF42
You are here:
Chat with us!