Phone:
+1 877 302 8632
Fax:
+1 888 205 9894 (Toll-free)
E-Mail:
orders@antibodies-online.com

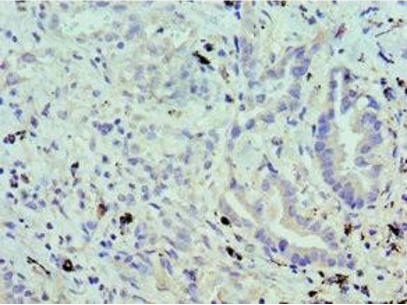
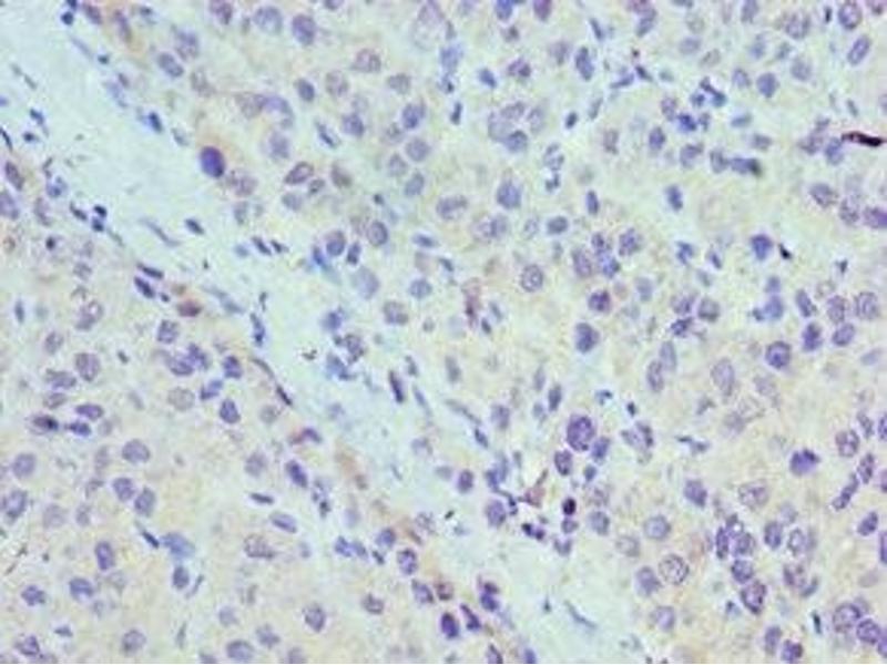
UBE2J2 antibody (AA 1-230)

The Rabbit Polyclonal anti-UBE2J2 antibody (ABIN7174459) specifically detects UBE2J2 in WB, IHC and ELISA. The antibody is reactive with Human samples.
Catalog No. ABIN7174459
$394.68
Plus shipping costs $50.00
Shipping to: United States
Delivery in 13 to 17 Business Days

Quick Overview for UBE2J2 antibody (AA 1-230) (ABIN7174459)

Target

See all UBE2J2 Antibodies
UBE2J2 (Ubiquitin-Conjugating Enzyme E2, J2 (UBE2J2))

Reactivity

  • 35
  • 14
  • 7
  • 5
  • 3
  • 3
  • 2
  • 2
  • 1
  • 1
  • 1
  • 1
  • 1
  • 1
  • 1
  • 1
  • 1
  • 1
Human

Host

  • 32
  • 3
Rabbit

Clonality

  • 35
Polyclonal

Conjugate

  • 14
  • 2
  • 1
  • 1
  • 1
  • 1
  • 1
  • 1
  • 1
  • 1
  • 1
  • 1
  • 1
  • 1
  • 1
  • 1
  • 1
  • 1
  • 1
  • 1
  • 1
This UBE2J2 antibody is un-conjugated

Application

  • 28
  • 13
  • 13
  • 7
  • 6
  • 4
  • 3
  • 2
  • 1
  • 1
Western Blotting (WB), Immunohistochemistry (IHC), ELISA
  • Binding Specificity

    • 15
    • 4
    • 2
    • 2
    • 1
    • 1
    AA 1-230

    Purpose

    UBE2J2 Antibody

    Cross-Reactivity

    Rat

    Purification

    Antigen Affinity Purified

    Immunogen

    Recombinant Human Ubiquitin-conjugating enzyme E2 J2 protein (1-230AA)

    Isotype

    IgG
  • Application Notes

    Optimal working dilution should be determined by the investigator.

    Restrictions

    For Research Use only
  • Format

    Liquid

    Buffer

    PBS with 0.02 % sodium azide, 50 % glycerol, pH 7.3.

    Preservative

    Sodium azide

    Precaution of Use

    This product contains Sodium azide: a POISONOUS AND HAZARDOUS SUBSTANCE which should be handled by trained staff only.

    Storage

    -20 °C,-80 °C

    Storage Comment

    Upon receipt, store at -20°C or -80°C. Avoid repeated freeze.
  • Target

    UBE2J2 (Ubiquitin-Conjugating Enzyme E2, J2 (UBE2J2))

    Alternative Name

    UBE2J2

    Background

    Background: Catalyzes the covalent attachment of ubiquitin to other proteins. Seems to function in the selective degradation of misfolded membrane proteins from the endoplasmic reticulum (ERAD)

    Aliases: NCUBE-2 antibody, NCUBE2 antibody, Non-canonical ubiquitin-conjugating enzyme 2 antibody, PRO2121 antibody, UB2J2_HUMAN antibody, UBC6 antibody, UBC6 homolog antibody, ube2j2 antibody, Ubiquitin conjugating enzyme 6 antibody, Ubiquitin-conjugating enzyme E2 J2 antibody, Yeast UBC6 homolog antibody

    UniProt

    Q8N2K1
You are here:
Chat with us!