Phone:
+1 877 302 8632
Fax:
+1 888 205 9894 (Toll-free)
E-Mail:
orders@antibodies-online.com

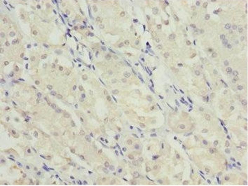
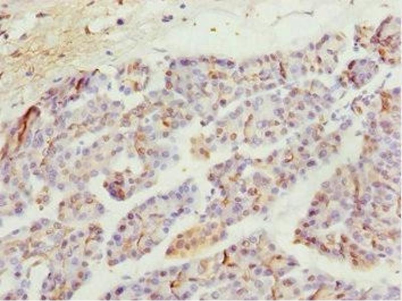
MYO5C antibody (AA 270-420)

The Rabbit Polyclonal anti-MYO5C antibody is suitable to detect MYO5C in samples from Human. It has been validated for ELISA and IHC.
Catalog No. ABIN7174959
$394.68
Plus shipping costs $50.00
Shipping to: United States
Delivery in 13 to 17 Business Days

Quick Overview for MYO5C antibody (AA 270-420) (ABIN7174959)

Target

MYO5C

Reactivity

  • 8
  • 2
  • 2
Human

Host

  • 5
  • 3
Rabbit

Clonality

  • 8
Polyclonal

Conjugate

  • 8
This MYO5C antibody is un-conjugated

Application

  • 8
  • 3
  • 1
  • 1
ELISA, Immunohistochemistry (IHC)
  • Binding Specificity

    • 2
    • 2
    • 1
    AA 270-420

    Purpose

    MYO5C Antibody

    Purification

    Antigen Affinity Purified

    Immunogen

    Recombinant Human Unconventional myosin-Vc protein (270-420AA)

    Isotype

    IgG
  • Application Notes

    Optimal working dilution should be determined by the investigator.

    Restrictions

    For Research Use only
  • Format

    Liquid

    Buffer

    PBS with 0.02 % sodium azide, 50 % glycerol, pH 7.3.

    Preservative

    Sodium azide

    Precaution of Use

    This product contains Sodium azide: a POISONOUS AND HAZARDOUS SUBSTANCE which should be handled by trained staff only.

    Storage

    -20 °C,-80 °C

    Storage Comment

    Upon receipt, store at -20°C or -80°C. Avoid repeated freeze.
  • Target

    MYO5C

    Background

    Background: May be involved in transferrin trafficking. Likely to power actin-based membrane trafficking in many physiologically crucial tissues.

    Aliases: MGC74969 antibody, MYO5C antibody, MYO5C_HUMAN antibody, Myosin 5C antibody, myosin VC antibody, Unconventional myosin-Vc antibody

    UniProt

    Q9NQX4
You are here:
Chat with us!