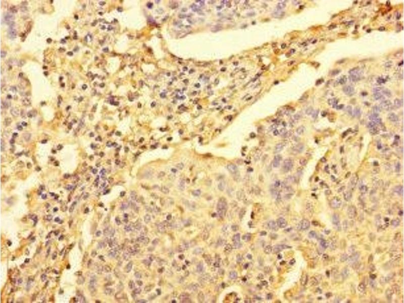
UPRT antibody (AA 1-309)
Quick Overview for UPRT antibody (AA 1-309) (ABIN7175093)
Target
See all UPRT AntibodiesReactivity
Host
Clonality
Conjugate
Application
-
-
Binding Specificity
- AA 1-309
-
Purpose
- UPRT Antibody
-
Purification
- Protein G purified
-
Purity
- >95 %
-
Immunogen
- Recombinant Human Uracil phosphoribosyltransferase homolog protein (1-309AA)
-
Isotype
- IgG
-
-
-
-
Application Notes
- Optimal working dilution should be determined by the investigator.
-
Restrictions
- For Research Use only
-
-
-
Format
- Liquid
-
Buffer
-
Preservative: 0.03 % Proclin 300
Constituents: 50 % Glycerol, 0.01M PBS, PH 7.4 -
Preservative
- ProClin
-
Precaution of Use
- This product contains ProClin: a POISONOUS AND HAZARDOUS SUBSTANCE which should be handled by trained staff only.
-
Storage
- -20 °C,-80 °C
-
Storage Comment
- Upon receipt, store at -20°C or -80°C. Avoid repeated freeze.
-
-
- UPRT (Uracil phosphoribosyltransferase (FUR1) Homolog (UPRT))
-
Alternative Name
- UPRT
-
Background
-
Background: cytosol, uridine kinase activity, pyrimidine nucleobase metabolic process, pyrimidine nucleoside salvage
Aliases: DKFZp781E1243 antibody, FUR1 antibody, Gm774 antibody, MGC23937 antibody, RGD1564806 antibody, RP11-311P8.3 antibody, RP23-92C4.1 antibody, UPP antibody, UPP_HUMAN antibody, uprt antibody, Uracil phosphoribosyltransferase homolog antibody
-
UniProt
- Q96BW1
-
Pathways
- Ribonucleoside Biosynthetic Process
Target
-