Phone:
+1 877 302 8632
Fax:
+1 888 205 9894 (Toll-free)
E-Mail:
orders@antibodies-online.com

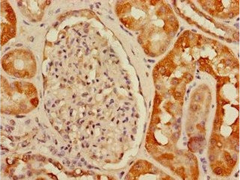
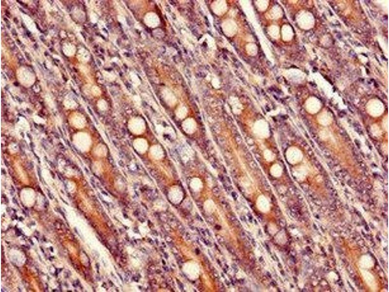
USHBP1 antibody (AA 1-260)

This Rabbit Polyclonal antibody specifically detects USHBP1 in ELISA, IHC and IF. It exhibits reactivity toward Human.
Catalog No. ABIN7175150
$394.68
Plus shipping costs $50.00
Shipping to: United States
Delivery in 13 to 17 Business Days

Quick Overview for USHBP1 antibody (AA 1-260) (ABIN7175150)

Target

USHBP1 (Usher Syndrome 1C Binding Protein 1 (USHBP1))

Reactivity

  • 6
  • 3
  • 2
Human

Host

  • 7
Rabbit

Clonality

  • 7
Polyclonal

Conjugate

  • 3
  • 2
  • 1
  • 1
This USHBP1 antibody is un-conjugated

Application

  • 4
  • 2
  • 2
  • 1
ELISA, Immunohistochemistry (IHC), Immunofluorescence (IF)
  • Binding Specificity

    • 4
    • 1
    AA 1-260

    Purpose

    USHBP1 Antibody

    Purification

    Protein G purified

    Purity

    >95 %

    Immunogen

    Recombinant Human Usher syndrome type-1C protein-binding protein 1 protein (1-260AA)

    Isotype

    IgG
  • Application Notes

    Optimal working dilution should be determined by the investigator.

    Restrictions

    For Research Use only
  • Format

    Liquid

    Buffer

    Preservative: 0.03 % Proclin 300
    Constituents: 50 % Glycerol, 0.01M PBS, PH 7.4

    Preservative

    ProClin

    Precaution of Use

    This product contains ProClin: a POISONOUS AND HAZARDOUS SUBSTANCE which should be handled by trained staff only.

    Storage

    -20 °C,-80 °C

    Storage Comment

    Upon receipt, store at -20°C or -80°C. Avoid repeated freeze.
  • Target

    USHBP1 (Usher Syndrome 1C Binding Protein 1 (USHBP1))

    Alternative Name

    USHBP1

    Background

    Background: PDZ domain binding

    Aliases: USHBP1 antibody, AIEBP antibody, MCC2 antibody, Usher syndrome type-1C protein-binding protein 1 antibody, USH1C-binding protein 1 antibody, AIE-75-binding protein antibody, MCC-2 antibody, Mutated in colon cancer protein 2 antibody

    UniProt

    Q8N6Y0
You are here:
Chat with us!