Phone:
+1 877 302 8632
Fax:
+1 888 205 9894 (Toll-free)
E-Mail:
orders@antibodies-online.com

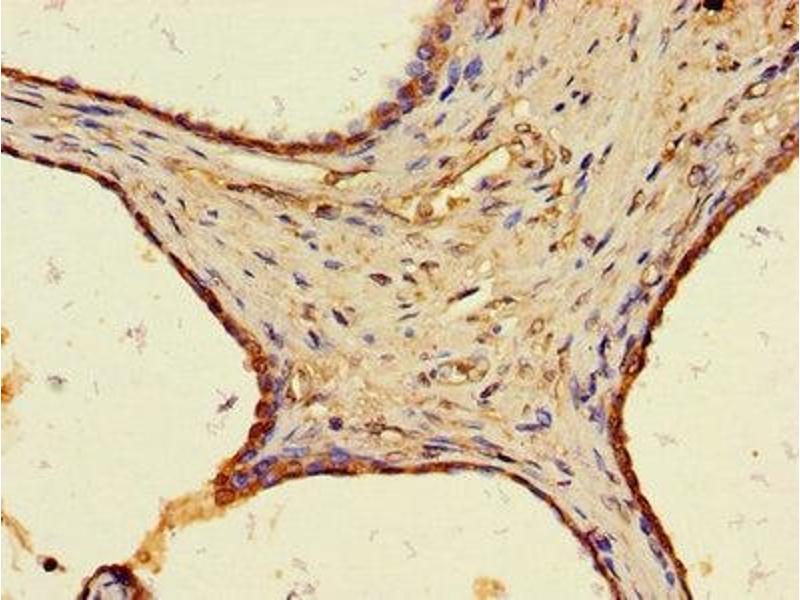
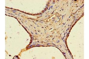
WAP Four-Disulfide Core Domain 8 (WFDC8) (AA 44-94) antibody

This Rabbit Polyclonal antibody specifically detects WAP Four-Disulfide Core Domain 8 in ELISA, IHC and IF. It exhibits reactivity toward Human.
Catalog No. ABIN7175675
$394.68
Plus shipping costs $50.00
Shipping to: United States
Delivery in 13 to 17 Business Days

Quick Overview for WAP Four-Disulfide Core Domain 8 (WFDC8) (AA 44-94) antibody (ABIN7175675)

Target

See all WAP Four-Disulfide Core Domain 8 (WFDC8) Antibodies
WAP Four-Disulfide Core Domain 8 (WFDC8)

Reactivity

Human

Host

  • 4
Rabbit

Clonality

  • 4
Polyclonal

Conjugate

  • 2
  • 1
  • 1
Un-conjugated

Application

ELISA, Immunohistochemistry (IHC), Immunofluorescence (IF)
  • Binding Specificity

    AA 44-94

    Purpose

    WFDC8 Antibody

    Purification

    Protein G purified

    Purity

    >95 %

    Immunogen

    Recombinant Human WAP four-disulfide core domain protein 8 protein (44-94AA)

    Isotype

    IgG
  • Application Notes

    Optimal working dilution should be determined by the investigator.

    Restrictions

    For Research Use only
  • Format

    Liquid

    Buffer

    Preservative: 0.03 % Proclin 300
    Constituents: 50 % Glycerol, 0.01M PBS, PH 7.4

    Preservative

    ProClin

    Precaution of Use

    This product contains ProClin: a POISONOUS AND HAZARDOUS SUBSTANCE which should be handled by trained staff only.

    Storage

    -20 °C,-80 °C

    Storage Comment

    Upon receipt, store at -20°C or -80°C. Avoid repeated freeze.
  • Target

    WAP Four-Disulfide Core Domain 8 (WFDC8)

    Alternative Name

    WFDC8

    Background

    WFDC8 antibody, C20orf170 antibody, WAP8 antibody, WAP four-disulfide core domain protein 8 antibody, Putative protease inhibitor WAP8 antibody

    UniProt

    Q8IUA0
You are here:
Chat with us!