Phone:
+1 877 302 8632
Fax:
+1 888 205 9894 (Toll-free)
E-Mail:
orders@antibodies-online.com

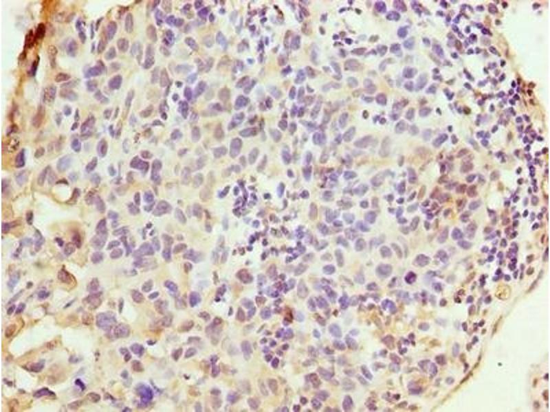
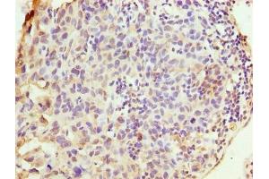
WDR62 antibody (AA 889-1188)

The Rabbit Polyclonal anti-WDR62 antibody (ABIN7175782) specifically detects WDR62 in ELISA and IHC. The antibody is reactive with Human samples.
Catalog No. ABIN7175782
$394.68
Plus shipping costs $50.00
Shipping to: United States
Delivery in 13 to 17 Business Days

Quick Overview for WDR62 antibody (AA 889-1188) (ABIN7175782)

Target

See all WDR62 Antibodies
WDR62 (WD Repeat Domain 62 (WDR62))

Reactivity

  • 9
  • 2
  • 1
Human

Host

  • 9
  • 1
Rabbit

Clonality

  • 9
  • 1
Polyclonal

Conjugate

  • 6
  • 2
  • 1
  • 1
This WDR62 antibody is un-conjugated

Application

  • 5
  • 4
  • 3
  • 1
  • 1
  • 1
  • 1
ELISA, Immunohistochemistry (IHC)
  • Binding Specificity

    • 4
    • 2
    • 1
    • 1
    • 1
    AA 889-1188

    Purpose

    WDR62 Antibody

    Purification

    Protein G purified

    Purity

    >95 %

    Immunogen

    Recombinant Human WD repeat-containing protein 62 protein (889-1188AA)

    Isotype

    IgG
  • Application Notes

    Optimal working dilution should be determined by the investigator.

    Restrictions

    For Research Use only
  • Format

    Liquid

    Buffer

    Preservative: 0.03 % Proclin 300
    Constituents: 50 % Glycerol, 0.01M PBS, PH 7.4

    Preservative

    ProClin

    Precaution of Use

    This product contains ProClin: a POISONOUS AND HAZARDOUS SUBSTANCE which should be handled by trained staff only.

    Storage

    -20 °C,-80 °C

    Storage Comment

    Upon receipt, store at -20°C or -80°C. Avoid repeated freeze.
  • Target

    WDR62 (WD Repeat Domain 62 (WDR62))

    Alternative Name

    WDR62

    Background

    Background: Required for cerebral cortical development. Plays a role in neuronal proliferation and migration (PubMed:20890278, PubMed:20729831). Plays a role in mother-centriole-dependent centriole duplication, the function seems also to involve CEP152, CDK5RAP2 and CEP63 through a stepwise assembled complex at the centrosome that recruits CDK2 required for centriole duplication (PubMed:26297806).

    Aliases: WDR62 antibody, C19orf14 antibody, WD repeat-containing protein 62 antibody

    UniProt

    O43379
You are here:
Chat with us!