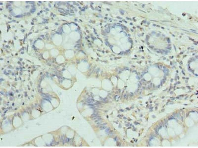
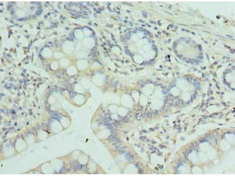
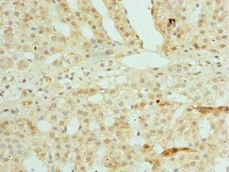
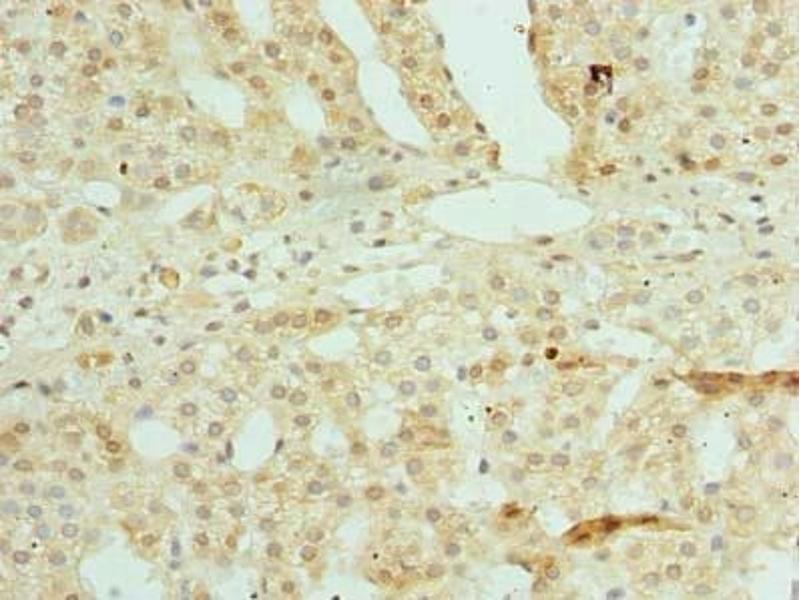
Zinc Finger and SCAN Domain Containing 9 (ZSCAN9) (AA 1-394) antibody
Quick Overview for Zinc Finger and SCAN Domain Containing 9 (ZSCAN9) (AA 1-394) antibody (ABIN7176016)
Target
See all Zinc Finger and SCAN Domain Containing 9 (ZSCAN9) AntibodiesReactivity
Host
Clonality
Conjugate
Application
-
-
Binding Specificity
- AA 1-394
-
Purpose
- ZSCAN9 Antibody
-
Cross-Reactivity
- Mouse
-
Purification
- Antigen Affinity Purified
-
Immunogen
- Recombinant Human Zinc finger and SCAN domain-containing protein 9 protein (1-394AA)
-
Isotype
- IgG
-
-
-
-
Application Notes
- Optimal working dilution should be determined by the investigator.
-
Restrictions
- For Research Use only
-
-
-
Format
- Liquid
-
Buffer
-
Preservative: 0.03 % Proclin 300
Constituents: 50 % Glycerol, 0.01M PBS, PH 7.4 -
Preservative
- ProClin
-
Precaution of Use
- This product contains ProClin: a POISONOUS AND HAZARDOUS SUBSTANCE which should be handled by trained staff only.
-
Storage
- -20 °C,-80 °C
-
Storage Comment
- Upon receipt, store at -20°C or -80°C. Avoid repeated freeze.
-
-
- Zinc Finger and SCAN Domain Containing 9 (ZSCAN9)
-
Alternative Name
- ZSCAN9
-
Background
-
Background: May be involved in transcriptional regulation.
Aliases: Cell proliferation inducing protein 12 antibody, Cell proliferation-inducing gene 12 protein antibody, PRD51 antibody, Zinc finger and SCAN domain containing protein 9 antibody, Zinc finger and SCAN domain-containing protein 9 antibody, Zinc finger protein 193 antibody, ZN193_HUMAN antibody, ZNF193 antibody, ZSCAN9 antibody
-
UniProt
- O15535
Target
-