Phone:
+1 877 302 8632
Fax:
+1 888 205 9894 (Toll-free)
E-Mail:
orders@antibodies-online.com

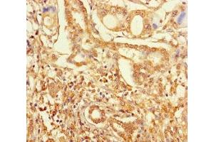
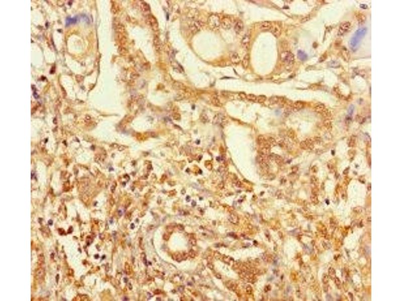
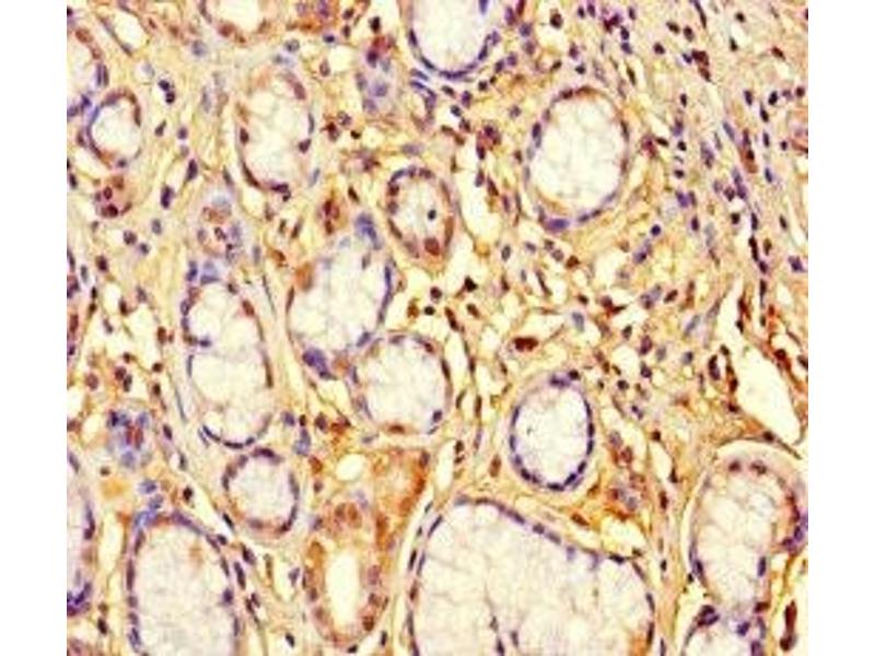
ZNF627 antibody (AA 1-300)

The Rabbit Polyclonal anti-ZNF627 antibody (ABIN7176457) specifically detects ZNF627 in ELISA and IHC. The antibody is reactive with Human samples.
Catalog No. ABIN7176457
$394.68
Plus shipping costs $50.00
Shipping to: United States
Delivery in 13 to 17 Business Days

Quick Overview for ZNF627 antibody (AA 1-300) (ABIN7176457)

Target

See all ZNF627 Antibodies
ZNF627 (Zinc Finger Protein 627 (ZNF627))

Reactivity

  • 6
  • 1
Human

Host

  • 6
Rabbit

Clonality

  • 6
Polyclonal

Conjugate

  • 2
  • 2
  • 1
  • 1
This ZNF627 antibody is un-conjugated

Application

ELISA, Immunohistochemistry (IHC)
  • Binding Specificity

    • 4
    • 1
    • 1
    AA 1-300

    Purpose

    ZNF627 Antibody

    Purification

    Protein G purified

    Purity

    >95 %

    Immunogen

    Recombinant Human Zinc finger protein 627 protein (1-300AA)

    Isotype

    IgG
  • Application Notes

    Optimal working dilution should be determined by the investigator.

    Restrictions

    For Research Use only
  • Format

    Liquid

    Buffer

    Preservative: 0.03 % Proclin 300
    Constituents: 50 % Glycerol, 0.01M PBS, PH 7.4

    Preservative

    ProClin

    Precaution of Use

    This product contains ProClin: a POISONOUS AND HAZARDOUS SUBSTANCE which should be handled by trained staff only.

    Storage

    -20 °C,-80 °C

    Storage Comment

    Upon receipt, store at -20°C or -80°C. Avoid repeated freeze.
  • Target

    ZNF627 (Zinc Finger Protein 627 (ZNF627))

    Alternative Name

    ZNF627

    Background

    Background: May be involved in transcriptional regulation.

    Aliases: ZNF627Zinc finger protein 627 antibody

    UniProt

    Q7L945
You are here:
Chat with us!