Phone:
+1 877 302 8632
Fax:
+1 888 205 9894 (Toll-free)
E-Mail:
orders@antibodies-online.com

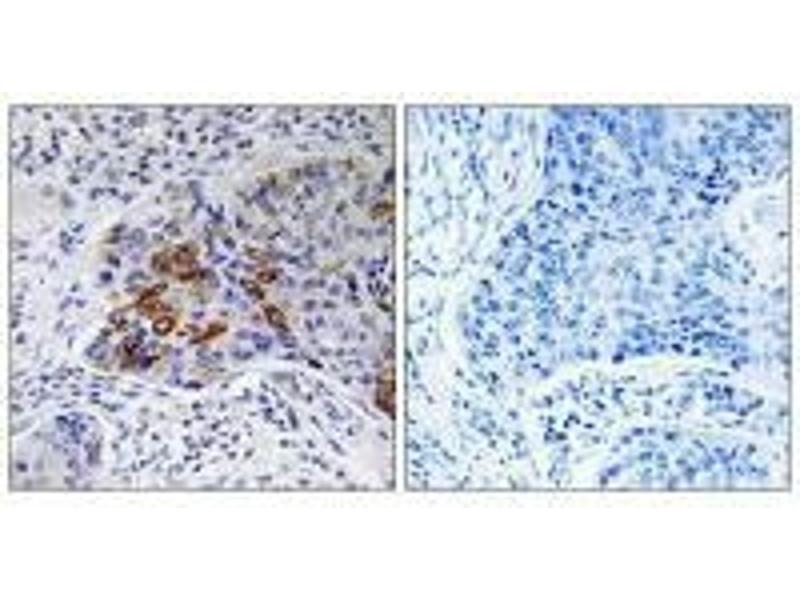
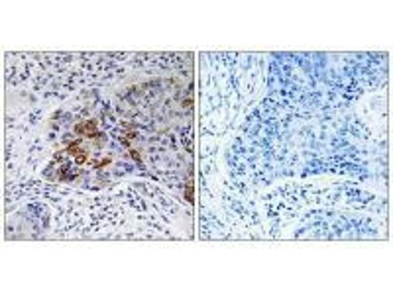
ADCY9 antibody (N-Term)

The Rabbit Polyclonal anti-ADCY9 antibody is suitable to detect ADCY9 in samples from Human. It has been validated for WB, IHC and ELISA.
Catalog No. ABIN7184409
$392.04
Plus shipping costs $50.00
100 μL
Shipping to: United States
Delivery in 13 to 17 Business Days

Quick Overview for ADCY9 antibody (N-Term) (ABIN7184409)

Target

See all ADCY9 Antibodies
ADCY9 (Adenylate Cyclase 9 (ADCY9))

Reactivity

  • 31
  • 30
  • 19
Human

Host

  • 47
  • 1
Rabbit

Clonality

  • 46
  • 1
Polyclonal

Conjugate

  • 21
  • 3
  • 3
  • 2
  • 1
  • 1
  • 1
  • 1
  • 1
  • 1
  • 1
  • 1
  • 1
  • 1
  • 1
  • 1
  • 1
  • 1
  • 1
  • 1
  • 1
  • 1
  • 1
This ADCY9 antibody is un-conjugated

Application

  • 40
  • 15
  • 13
  • 13
  • 13
  • 7
  • 6
  • 4
  • 4
  • 3
  • 2
  • 1
  • 1
Western Blotting (WB), Immunohistochemistry (IHC), ELISA
  • Binding Specificity

    • 15
    • 8
    • 2
    • 2
    • 2
    • 1
    • 1
    • 1
    • 1
    • 1
    • 1
    N-Term

    Purpose

    ADCY9 Antibody

    Purification

    The antibody was affinity-purified from rabbit antiserum by affinity-chromatography using epitope-specific immunogen.

    Immunogen

    Synthesized peptide derived from N-terminal of Human ADCY9.

    Isotype

    IgG
  • Application Notes

    Optimal working dilution should be determined by the investigator.

    Restrictions

    For Research Use only
  • Format

    Liquid

    Buffer

    phosphate buffered saline (without Mg2+ and Ca2+), pH 7.4, 150 mM NaCl, 0.02 % sodium azide and 50 % glycerol.

    Preservative

    Sodium azide

    Precaution of Use

    This product contains Sodium azide: a POISONOUS AND HAZARDOUS SUBSTANCE which should be handled by trained staff only.

    Storage

    -20 °C,-80 °C

    Storage Comment

    Upon receipt, store at -20°C or -80°C. Avoid repeated freeze.
  • Target

    ADCY9 (Adenylate Cyclase 9 (ADCY9))

    Alternative Name

    ADCY9

    Background

    Background: May play a fundamental role in situations where fine interplay between intracellular calcium and cAMP determines the cellular function. May be a physiologically relevant docking site for calcineurin By similarity.

    Hacker B.M., Genomics 50:97-104(1998).
    Small K.M., Pharmacogenetics 13:535-541(2003).
    Tantisira K.G., Hum. Mol. Genet. 14:1671-1677(2005).

    Aliases: ADCY 9 antibody, ADCY9 antibody, ADCY9_HUMAN antibody, Adenylate cyclase 9 antibody, Adenylate cyclase type 9 antibody, Adenylate cyclase type IX antibody, Adenylyl cyclase 9 antibody, ATP pyrophosphate lyase 9 antibody, ATP pyrophosphate-lyase 9 antibody, KIAA0520 antibody, Type IX adenylyl cyclase antibody, Type IX ATP pyrophosphate lyase antibody

    UniProt

    O60503

    Pathways

    EGFR Signaling Pathway, Neurotrophin Signaling Pathway, Thyroid Hormone Synthesis, cAMP Metabolic Process, Myometrial Relaxation and Contraction, G-protein mediated Events, Interaction of EGFR with phospholipase C-gamma
You are here:
Chat with us!