Phone:
+1 877 302 8632
Fax:
+1 888 205 9894 (Toll-free)
E-Mail:
orders@antibodies-online.com

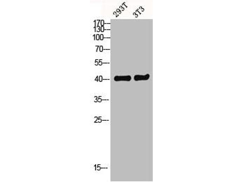
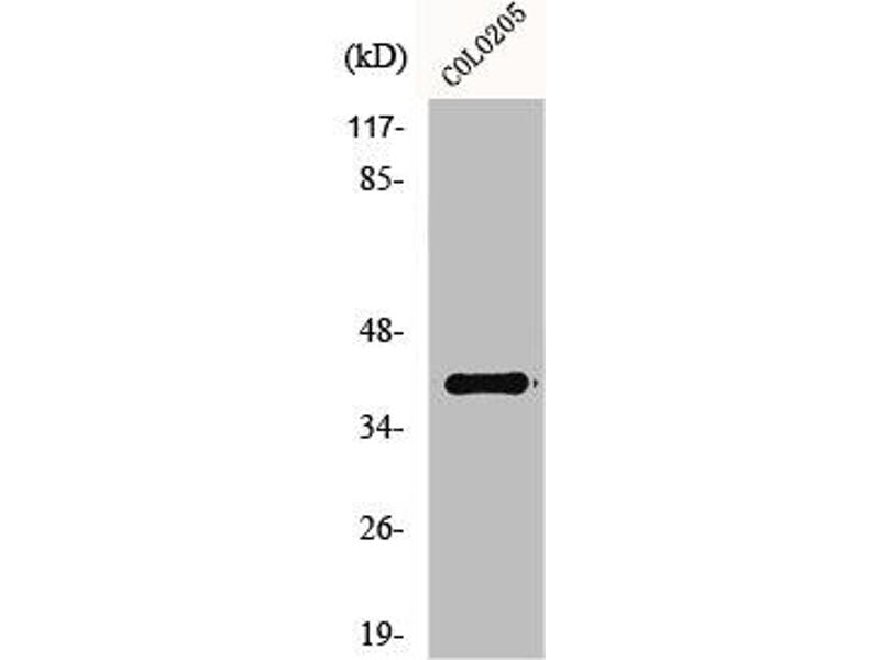
GPR52 antibody (C-Term)

The Rabbit Polyclonal anti-GPR52 antibody is suitable to detect GPR52 in samples from Human. It has been validated for WB and ELISA.
Catalog No. ABIN7184982
$262.68
Plus shipping costs $50.00
Shipping to: United States
Delivery in 13 to 17 Business Days

Quick Overview for GPR52 antibody (C-Term) (ABIN7184982)

Target

See all GPR52 Antibodies
GPR52 (G Protein-Coupled Receptor 52 (GPR52))

Reactivity

  • 27
  • 5
  • 2
  • 1
  • 1
  • 1
  • 1
Human

Host

  • 28
Rabbit

Clonality

  • 28
Polyclonal

Conjugate

  • 20
  • 2
  • 2
  • 2
  • 1
  • 1
This GPR52 antibody is un-conjugated

Application

  • 19
  • 17
  • 9
  • 4
  • 2
  • 1
  • 1
  • 1
  • 1
  • 1
Western Blotting (WB), ELISA
  • Binding Specificity

    • 8
    • 4
    • 4
    • 2
    • 2
    • 2
    • 2
    • 1
    • 1
    • 1
    • 1
    • 1
    • 1
    C-Term

    Purpose

    GPR52 Antibody

    Purification

    The antibody was affinity-purified from rabbit antiserum by affinity-chromatography using epitope-specific immunogen.

    Immunogen

    Synthesized peptide derived from the C-terminal region of Human GPR52.

    Isotype

    IgG
  • Application Notes

    Optimal working dilution should be determined by the investigator.

    Restrictions

    For Research Use only
  • Format

    Liquid

    Buffer

    PBS containing 50 % glycerol, 0.5 % BSA and 0.02 % sodium azide.

    Preservative

    Sodium azide

    Precaution of Use

    This product contains Sodium azide: a POISONOUS AND HAZARDOUS SUBSTANCE which should be handled by trained staff only.

    Storage

    -20 °C,-80 °C

    Storage Comment

    Upon receipt, store at -20°C or -80°C. Avoid repeated freeze.
  • Target

    GPR52 (G Protein-Coupled Receptor 52 (GPR52))

    Alternative Name

    GPR52

    Background

    G protein coupled receptor 52 antibody, GPR52 antibody, GPR52_HUMAN antibody, Probable G protein coupled receptor 52 antibody, Probable G-protein coupled receptor 52 antibody

    UniProt

    Q9Y2T5
You are here:
Chat with us!