Phone:
+1 877 302 8632
Fax:
+1 888 205 9894 (Toll-free)
E-Mail:
orders@antibodies-online.com

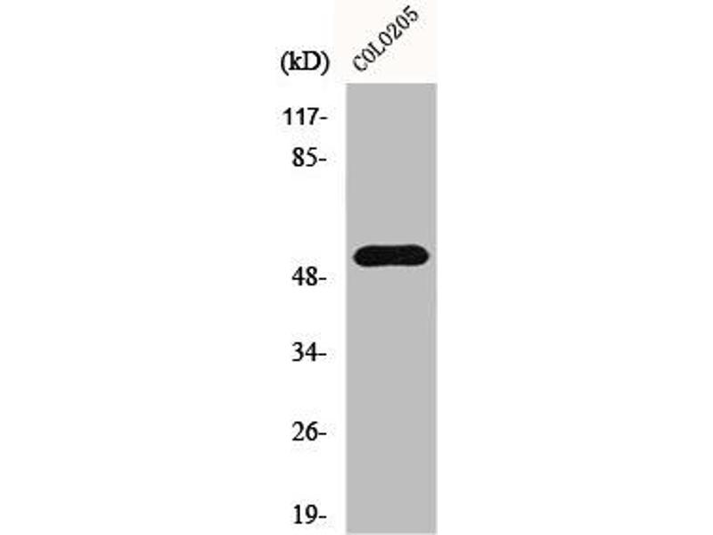
HARS1/Jo-1 antibody (C-Term)

This Rabbit Polyclonal antibody specifically detects HARS1/Jo-1 in WB, ELISA, IHC and IF. It exhibits reactivity toward Human.
Catalog No. ABIN7185002
$262.68
Plus shipping costs $50.00
Shipping to: United States
Delivery in 13 to 17 Business Days

Quick Overview for HARS1/Jo-1 antibody (C-Term) (ABIN7185002)

Target

See all HARS1/Jo-1 (HARS1) Antibodies
HARS1/Jo-1 (HARS1) (Histidyl-tRNA Synthetase (HARS1))

Reactivity

  • 55
  • 34
  • 7
  • 3
  • 2
  • 2
  • 2
  • 2
  • 2
  • 2
  • 1
  • 1
Human

Host

  • 52
  • 12
  • 6
Rabbit

Clonality

  • 50
  • 19
Polyclonal

Conjugate

  • 37
  • 3
  • 2
  • 2
  • 2
  • 2
  • 2
  • 2
  • 2
  • 1
  • 1
  • 1
  • 1
  • 1
  • 1
  • 1
  • 1
  • 1
  • 1
  • 1
  • 1
  • 1
  • 1
  • 1
  • 1
This HARS1/Jo-1 antibody is un-conjugated

Application

  • 57
  • 21
  • 16
  • 15
  • 13
  • 13
  • 10
  • 9
  • 9
  • 7
  • 3
  • 3
  • 2
  • 2
  • 1
  • 1
Western Blotting (WB), ELISA, Immunohistochemistry (IHC), Immunofluorescence (IF)
  • Binding Specificity

    • 15
    • 6
    • 6
    • 5
    • 3
    • 2
    • 2
    • 1
    • 1
    • 1
    • 1
    C-Term

    Purpose

    HARS Antibody

    Cross-Reactivity

    Mouse

    Purification

    The antibody was affinity-purified from rabbit antiserum by affinity-chromatography using epitope-specific immunogen.

    Immunogen

    Synthesized peptide derived from the C-terminal region of Human HisRS.

    Isotype

    IgG
  • Application Notes

    Optimal working dilution should be determined by the investigator.

    Restrictions

    For Research Use only
  • Format

    Liquid

    Buffer

    PBS containing 50 % glycerol, 0.5 % BSA and 0.02 % sodium azide.

    Preservative

    Sodium azide

    Precaution of Use

    This product contains Sodium azide: a POISONOUS AND HAZARDOUS SUBSTANCE which should be handled by trained staff only.

    Storage

    -20 °C,-80 °C

    Storage Comment

    Upon receipt, store at -20°C or -80°C. Avoid repeated freeze.
  • Target

    HARS1/Jo-1 (HARS1) (Histidyl-tRNA Synthetase (HARS1))

    Alternative Name

    HARS

    Background

    Cytoplasmic antibody, EC 6.1.1.21 antibody, FLJ20491 antibody, HARS antibody, HisRS antibody, Histidine tRNA ligase, cytoplasmic antibody, histidine translase antibody, Histidine tRNA ligase antibody, Histidine--tRNA ligase antibody, Histidyl tRNA synthetase antibody, Histidyl-tRNA synthetase antibody, HRS antibody, Human histidyl tRNA synthetase homolog (HO3) mRNA complete cds antibody, SYHC_HUMAN antibody, USH3B antibody

    UniProt

    P12081
You are here:
Chat with us!