Phone:
+1 877 302 8632
Fax:
+1 888 205 9894 (Toll-free)
E-Mail:
orders@antibodies-online.com

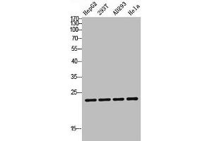
Cripto-3 antibody (Internal Region)

The Rabbit Polyclonal anti-Cripto-3 antibody (ABIN7186420) specifically detects Cripto-3 in WB and ELISA. The antibody is reactive with Human samples.
Catalog No. ABIN7186420
$262.68
Plus shipping costs $50.00
Shipping to: United States
Delivery in 13 to 17 Business Days

Quick Overview for Cripto-3 antibody (Internal Region) (ABIN7186420)

Target

Cripto-3 (TDGF1P3) (Teratocarcinoma-Derived Growth Factor 1 Pseudogene 3 (TDGF1P3))

Reactivity

Human

Host

  • 2
Rabbit

Clonality

  • 2
Polyclonal

Conjugate

  • 2
This Cripto-3 antibody is un-conjugated

Application

Western Blotting (WB), ELISA
  • Binding Specificity

    • 1
    • 1
    Internal Region

    Purpose

    TDGF1P3 Antibody

    Purification

    The antibody was affinity-purified from rabbit antiserum by affinity-chromatography using epitope-specific immunogen.

    Immunogen

    Synthesized peptide derived from the Internal region of Human Cripto-3.

    Isotype

    IgG
  • Application Notes

    Optimal working dilution should be determined by the investigator.

    Restrictions

    For Research Use only
  • Format

    Liquid

    Buffer

    PBS containing 50 % glycerol, 0.5 % BSA and 0.02 % sodium azide.

    Preservative

    Sodium azide

    Precaution of Use

    This product contains Sodium azide: a POISONOUS AND HAZARDOUS SUBSTANCE which should be handled by trained staff only.

    Storage

    -20 °C,-80 °C

    Storage Comment

    Upon receipt, store at -20°C or -80°C. Avoid repeated freeze.
  • Target

    Cripto-3 (TDGF1P3) (Teratocarcinoma-Derived Growth Factor 1 Pseudogene 3 (TDGF1P3))

    Alternative Name

    TDGF1P3

    Background

    TDGF1P3 antibody, CRIPTO3 antibody, TDGF2 antibody, TDGF3 antibody, Putative teratocarcinoma-derived growth factor 3 antibody, Cripto-3 growth factor antibody, Epidermal growth factor-like cripto protein CR3 antibody, Teratocarcinoma-derived growth factor 1 pseudogene 3 antibody

    UniProt

    P51864
You are here:
Chat with us!