Phone:
+1 877 302 8632
Fax:
+1 888 205 9894 (Toll-free)
E-Mail:
orders@antibodies-online.com

NPY5R antibody (Internal Region)

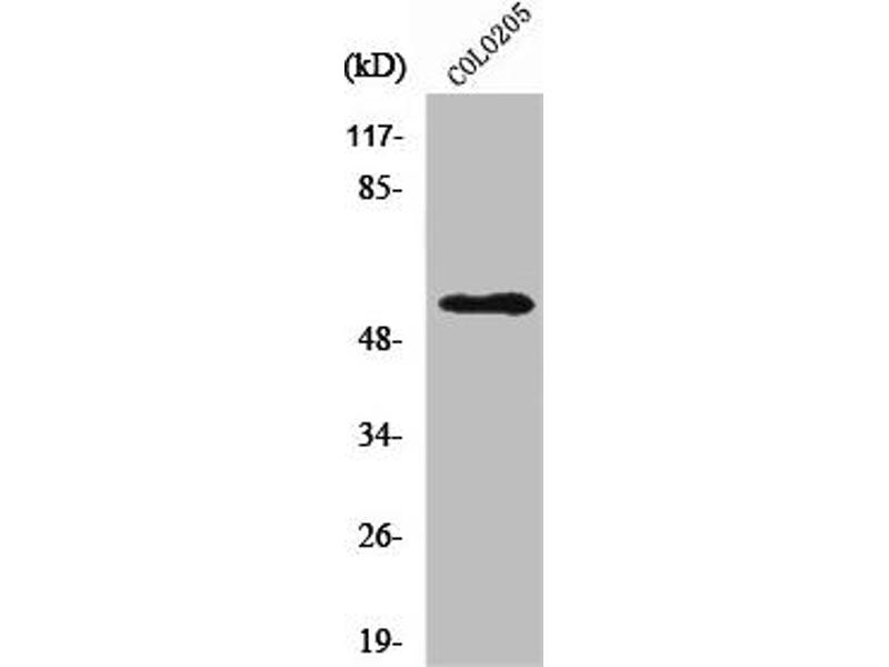
The Rabbit Polyclonal anti-NPY5R antibody is suitable to detect NPY5R in samples from Human. It has been validated for WB, IF, IHC and ELISA.
Catalog No. ABIN7187540
$262.68
Plus shipping costs $50.00
Shipping to: United States
Delivery in 13 to 17 Business Days

Quick Overview for NPY5R antibody (Internal Region) (ABIN7187540)

Target

See all NPY5R Antibodies
NPY5R (Neuropeptide Y Receptor Y5 (NPY5R))

Reactivity

  • 51
  • 9
  • 6
  • 3
  • 3
  • 2
  • 1
Human

Host

  • 49
  • 2
  • 2
Rabbit

Clonality

  • 41
  • 12
Polyclonal

Conjugate

  • 24
  • 3
  • 2
  • 1
  • 1
  • 1
  • 1
  • 1
  • 1
  • 1
  • 1
  • 1
  • 1
  • 1
  • 1
  • 1
  • 1
  • 1
  • 1
  • 1
  • 1
  • 1
  • 1
  • 1
  • 1
  • 1
  • 1
This NPY5R antibody is un-conjugated

Application

  • 48
  • 17
  • 14
  • 13
  • 12
  • 11
  • 7
  • 2
  • 1
Western Blotting (WB), Immunofluorescence (IF), Immunohistochemistry (IHC), ELISA
  • Binding Specificity

    • 4
    • 3
    • 3
    • 2
    • 2
    • 2
    • 1
    • 1
    • 1
    • 1
    • 1
    • 1
    • 1
    • 1
    • 1
    • 1
    Internal Region

    Purpose

    NPY5R Antibody

    Cross-Reactivity

    Mouse, Rat

    Purification

    The antibody was affinity-purified from rabbit antiserum by affinity-chromatography using epitope-specific immunogen.

    Immunogen

    Synthesized peptide derived from the Internal region of Human NPY5-R.

    Isotype

    IgG
  • Application Notes

    Optimal working dilution should be determined by the investigator.

    Restrictions

    For Research Use only
  • Format

    Liquid

    Buffer

    PBS containing 50 % glycerol, 0.5 % BSA and 0.02 % sodium azide.

    Preservative

    Sodium azide

    Precaution of Use

    This product contains Sodium azide: a POISONOUS AND HAZARDOUS SUBSTANCE which should be handled by trained staff only.

    Storage

    -20 °C,-80 °C

    Storage Comment

    Upon receipt, store at -20°C or -80°C. Avoid repeated freeze.
  • Target

    NPY5R (Neuropeptide Y Receptor Y5 (NPY5R))

    Alternative Name

    NPY5R

    Background

    Neuropeptide Y receptor type 5 antibody, Neuropeptide Y receptor Y5 antibody, NPY 5R antibody, NPY R5 antibody, NPY Y5 antibody, NPY Y5 receptor antibody, NPY-Y5 receptor antibody, NPY5 R antibody, NPY5-R antibody, NPY5R antibody, NPY5R_HUMAN antibody, NPYR 5 antibody, NPYR5 antibody, NPYY 5 antibody, NPYY5 antibody, NPYY5-R antibody, Y5 receptor antibody

    UniProt

    Q15761

    Pathways

    Feeding Behaviour
You are here:
Chat with us!