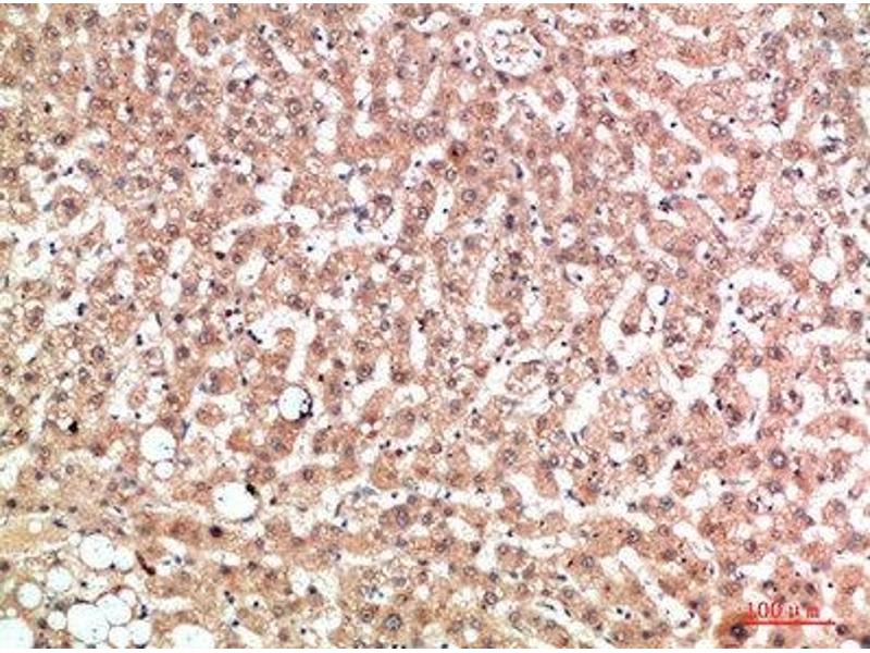
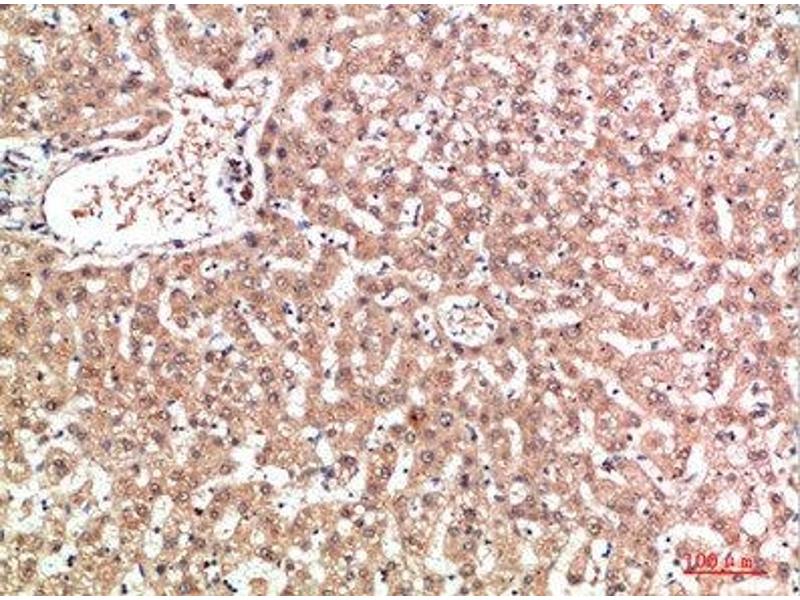
EPG5 antibody
This Rabbit Polyclonal antibody specifically detects EPG5 in IHC and ELISA. It exhibits reactivity toward Human.
Catalog No. ABIN7189447
$262.68
Plus shipping costs $50.00
Delivery in 13 to 17 Business Days
Quick Overview for EPG5 antibody (ABIN7189447)
Target
See all EPG5 Antibodies
EPG5
(Ectopic P-Granules Autophagy Protein 5 Homolog (EPG5))
Reactivity
Human
Host
Rabbit
Clonality
Polyclonal
Conjugate
This EPG5 antibody is un-conjugated
Application
Immunohistochemistry (IHC), ELISA
-
-
Purpose
-
EPG5 Antibody
-
Purification
-
The antibody was affinity-purified from rabbit serum by affinity-chromatography using specific immunogen.
-
Immunogen
-
Synthetic peptide from Human protein at AA range: 141-190
-
Isotype
-
IgG
-
-
-
Application Notes
-
Optimal working dilution should be determined by the investigator.
-
Restrictions
-
For Research Use only
-
-
Format
-
Liquid
-
Buffer
-
PBS, pH 7.4, containing 0.02 % sodium azide as Preservative and 50 % Glycerol.
-
Preservative
-
Sodium azide
-
Precaution of Use
-
This product contains Sodium azide: a POISONOUS AND HAZARDOUS SUBSTANCE which should be handled by trained staff only.
-
Storage
-
-20 °C,-80 °C
-
Storage Comment
-
Upon receipt, store at -20°C or -80°C. Avoid repeated freeze.
-
Target
-
EPG5
(Ectopic P-Granules Autophagy Protein 5 Homolog (EPG5))
-
Alternative Name
-
EPG5
-
Background
-
Ectopic P granules autophagy protein 5 homolog (C. elegans) antibody, Ectopic P granules protein 5 homolog antibody, Epg5 antibody, EPG5_HUMAN antibody, HEEW1 antibody, hEPG5 antibody, KIAA1632 antibody
-
UniProt
-
Q9HCE0
-
You are here:
-
Homepage
-
anti-EPG5 antibody (ABIN7189447)