Phone:
+1 877 302 8632
Fax:
+1 888 205 9894 (Toll-free)
E-Mail:
orders@antibodies-online.com

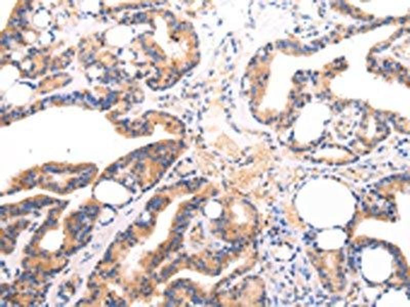
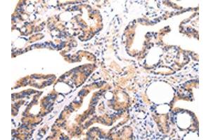
IGLV1-51 antibody

The Rabbit Polyclonal anti-IGLV1-51 antibody is suitable to detect IGLV1-51 in samples from Human. It has been validated for IHC, WB and ELISA.
Catalog No. ABIN7191260
$394.68
Plus shipping costs $50.00
Shipping to: United States
Delivery in 13 to 17 Business Days

Quick Overview for IGLV1-51 antibody (ABIN7191260)

Target

IGLV1-51 (Immunoglobulin lambda Variable 1-51 (IGLV1-51))

Reactivity

Human

Host

  • 2
  • 2
Rabbit

Clonality

  • 4
Polyclonal

Conjugate

  • 4
This IGLV1-51 antibody is un-conjugated

Application

  • 4
  • 3
  • 2
  • 2
  • 1
Immunohistochemistry (IHC), Western Blotting (WB), ELISA
  • Purpose

    IGLV1-51 Antibody

    Purification

    Antigen affinity purification

    Immunogen

    Synthetic peptide of Human Lambda Light chain

    Isotype

    IgG
  • Application Notes

    Optimal working dilution should be determined by the investigator.

    Restrictions

    For Research Use only
  • Format

    Liquid

    Buffer

     pH 7.4 PBS, 0.05 % Sodium azide, 40 % Glycerol

    Preservative

    Sodium azide

    Precaution of Use

    This product contains Sodium azide: a POISONOUS AND HAZARDOUS SUBSTANCE which should be handled by trained staff only.

    Storage

    -20 °C,-80 °C

    Storage Comment

    Upon receipt, store at -20°C or -80°C. Avoid repeated freeze.
  • Target

    IGLV1-51 (Immunoglobulin lambda Variable 1-51 (IGLV1-51))

    Alternative Name

    IGLV1-51

    Background

    Background: Antibody producing cells of the immune system require multiple rearrangements of immunoglobulin (antibody, Ig) genes. Immunoglobulins are four-chain, Y-shaped, monomeric structures of two identical heavy chains and two identical light chains held together through interchain disulfide bonds. Immunoglobulins in vertebrates help to remove non-self molecules or cells (antigens) by recognizing and binding to the antigen and carrying out effector functions that activate the immune system. Variable genetic combinations of the five heavy chain classes (M, D, G, E and A) and the two light chain isotypes, Kappa and Lambda, confer the role of an antibody. The variable region genes encoding immunoglobulin Kappa and Lambda chains are assembled from three DNA segments, the V, C and J genes. Kappa and Lambda consist of a variable region and a constant region and can easily be differentiated by the antigenic properties of the constant region. The ratio of Kappa to Lambda is 70:30 , the vast majority of which is bound to heavy-chain in immunoglobulin.

    Aliases: IGLV1-51Immunoglobulin lambda variable 1-51 antibody, Ig lambda chain V-I region BL2 antibody, Ig lambda chain V-I region EPS antibody, Ig lambda chain V-I region NEW antibody, Ig lambda chain V-I region NIG-64 antibody

    UniProt

    P01701
You are here:
Chat with us!