Phone:
+1 877 302 8632
Fax:
+1 888 205 9894 (Toll-free)
E-Mail:
orders@antibodies-online.com

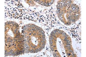
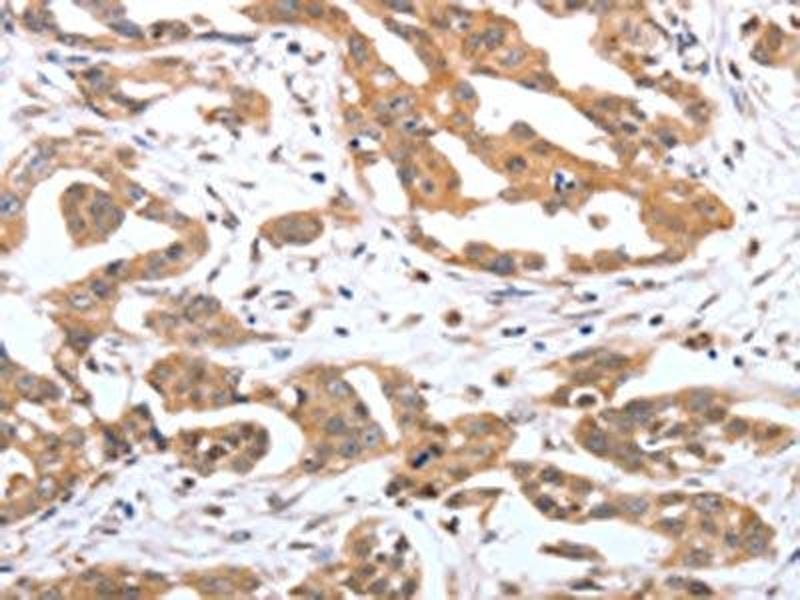
Persephin antibody

This Rabbit Polyclonal antibody specifically detects Persephin in ELISA and IHC. It exhibits reactivity toward Human.
Catalog No. ABIN7192042
-15% Promotion 2026
$335.48
$394.68
save $59.20 (-15 %)
Plus shipping costs $50.00
Shipping to: United States
Delivery in 13 to 16 Business Days

Quick Overview for Persephin antibody (ABIN7192042)

Target

See all Persephin (PSPN) Antibodies
Persephin (PSPN)

Reactivity

  • 20
  • 18
  • 15
Human

Host

  • 36
  • 1
  • 1
Rabbit

Clonality

  • 36
  • 2
Polyclonal

Conjugate

  • 15
  • 3
  • 1
  • 1
  • 1
  • 1
  • 1
  • 1
  • 1
  • 1
  • 1
  • 1
  • 1
  • 1
  • 1
  • 1
  • 1
  • 1
  • 1
  • 1
  • 1
  • 1
This Persephin antibody is un-conjugated

Application

  • 15
  • 13
  • 13
  • 12
  • 6
  • 3
  • 3
  • 3
  • 2
  • 2
  • 1
  • 1
ELISA, Immunohistochemistry (IHC)
  • Purpose

    PSPN Antibody

    Purification

    Antigen affinity purification

    Immunogen

    Synthetic peptide of Human PSPN

    Isotype

    IgG
  • Application Notes

    Optimal working dilution should be determined by the investigator.

    Restrictions

    For Research Use only
  • Format

    Liquid

    Buffer

     pH 7.4 PBS, 0.05 % Sodium azide, 40 % Glycerol

    Preservative

    Sodium azide

    Precaution of Use

    This product contains Sodium azide: a POISONOUS AND HAZARDOUS SUBSTANCE which should be handled by trained staff only.

    Storage

    -20 °C,-80 °C

    Storage Comment

    Upon receipt, store at -20°C or -80°C. Avoid repeated freeze.
  • Target

    Persephin (PSPN)

    Alternative Name

    PSPN

    Background

    Background: The protein encoded by this gene is a neurotrophic factor, belonging to the GDNF family. Neurotrophic factors are important for the proper development and maintenance of the nervous system. These factors promote neuronal survival and can prevent the neuronal degeneration associated with injury, toxin exposure, or neurodegenerative disease. The encoded protein has amino acid similarity to its other family members, glial cell line-derived neurotrophic factor and neurturin. This gene product promotes the survival of ventral midbrain dopaminergic neurons in culture and prevents their degeneration after 6-hydroxydopamine treatment in vivo.

    Aliases: PSPN antibody, Persephin antibody, PSP antibody

    UniProt

    O60542
You are here:
Chat with us!