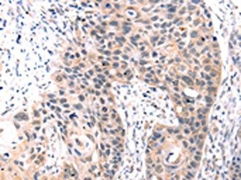
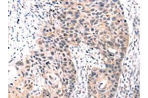
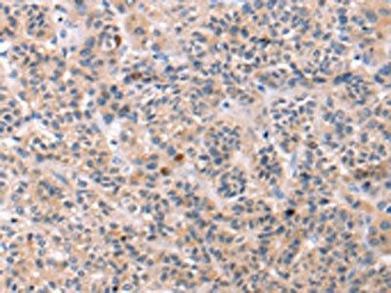
TCERG1L antibody
Quick Overview for TCERG1L antibody (ABIN7192749)
Target
Reactivity
Host
Clonality
Conjugate
Application
-
-
Purpose
- TCERG1L Antibody
-
Purification
- Antigen affinity purification
-
Immunogen
- Synthetic peptide of Human TCERG1L
-
Isotype
- IgG
-
-
-
-
Application Notes
- Optimal working dilution should be determined by the investigator.
-
Restrictions
- For Research Use only
-
-
-
Format
- Liquid
-
Buffer
- pH 7.4 PBS, 0.05 % Sodium azide, 40 % Glycerol
-
Preservative
- Sodium azide
-
Precaution of Use
- This product contains Sodium azide: a POISONOUS AND HAZARDOUS SUBSTANCE which should be handled by trained staff only.
-
Storage
- -20 °C,-80 °C
-
Storage Comment
- Upon receipt, store at -20°C or -80°C. Avoid repeated freeze.
-
-
- TCERG1L (Transcription Elongation Regulator 1-Like (TCERG1L))
-
Alternative Name
- TCERG1L
-
Background
-
Background: TCERG1L (transcription elongation regulator 1-like protein) is a 586 amino acid protein that contains two FF domains and two WW domains. The gene that encodes TCERG1L contains just over 219,000 bases and maps to human chromosome 10q26.3. Spanning nearly 135 million base pairs and encoding nearly 1,200 genes, chromosome 10 makes up approximately 4.5 % of the human genome. Several protein-coding genes, including those that encode chemokines, cadherins, excision repair proteins, early growth response factors (Egrs) and fibroblast growth receptors (FGFRs), are located on chromosome 10.
Aliases: TCERG1L antibody, Transcription elongation regulator 1-like protein antibody
-
UniProt
- Q5VWI1
Target
-