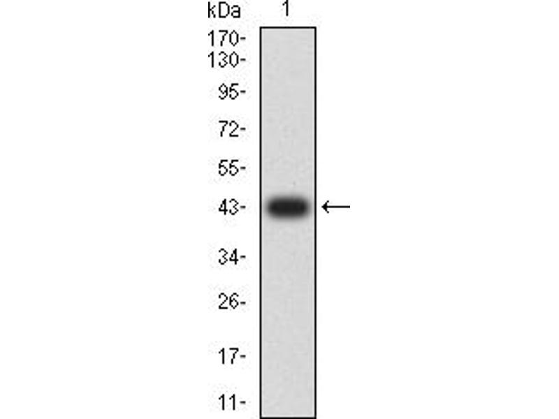
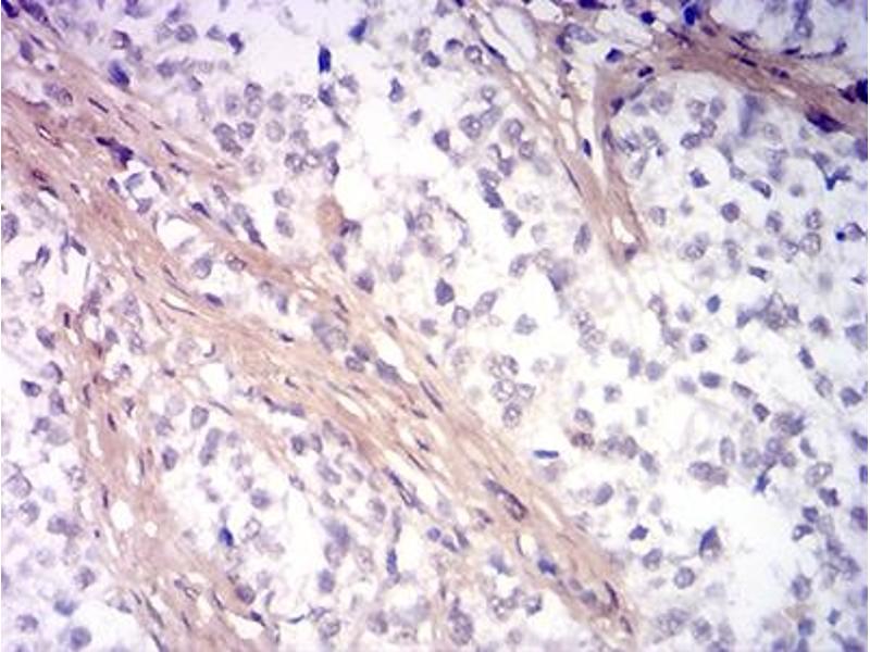
PINK1 antibody (AA 112-273)
Quick Overview for PINK1 antibody (AA 112-273) (ABIN7193446)
Target
See all PINK1 AntibodiesReactivity
Host
Clonality
Conjugate
Application
Clone
-
-
Binding Specificity
- AA 112-273
-
Purpose
- PINK1 Antibody
-
Purification
- Purified antibody
-
Immunogen
- Purified recombinant fragment of human PINK1 (AA: 112-273) expressed in E. Coli.
-
Isotype
- IgG2a
-
-
-
-
Application Notes
-
ELISA: 1/10000
FCM: 1/200 - 1/400
-
Restrictions
- For Research Use only
-
-
-
Format
- Liquid
-
Buffer
- Purified antibody in PBS with 0.05 % sodium azide.
-
Preservative
- Sodium azide
-
Precaution of Use
- This product contains Sodium azide: a POISONOUS AND HAZARDOUS SUBSTANCE which should be handled by trained staff only.
-
Storage
- 4 °C,-20 °C
-
Storage Comment
- Store at 4°C short term. Aliquot and store at -20°C long term. Avoid freeze/thaw cycles.
-
-
- PINK1 (PTEN Induced Putative Kinase 1 (PINK1))
-
Alternative Name
- PINK1
-
Background
-
This gene encodes a serine/threonine protein kinase that localizes to mitochondria. It is thought to protect cells from stress-induced mitochondrial dysfunction. Mutations in this gene cause one form of autosomal recessive early-onset Parkinson disease.
-
Molecular Weight
- 62.8 kDa
-
UniProt
- Q9BXM7
-
Pathways
- Autophagy
Target
-