Phone:
+1 877 302 8632
Fax:
+1 888 205 9894 (Toll-free)
E-Mail:
orders@antibodies-online.com

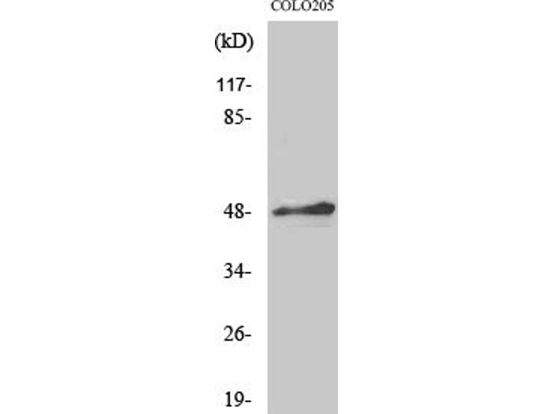
AP2 alpha/beta (AA 360-440) antibody

The Rabbit Polyclonal anti-AP2 alpha/beta antibody is suitable to detect AP2 alpha/beta in samples from Human, Mouse and Rat. It has been validated for WB, ELISA and IHC (p).
Catalog No. ABIN7213610
$379.10
Plus shipping costs $50.00
Shipping to: United States
Delivery in 12 to 16 Business Days

Quick Overview for AP2 alpha/beta (AA 360-440) antibody (ABIN7213610)

Target

AP2 alpha/beta

Reactivity

  • 6
  • 4
  • 4
  • 2
  • 2
  • 2
Human, Mouse, Rat

Host

  • 6
Rabbit

Clonality

  • 6
Polyclonal

Conjugate

  • 6
Un-conjugated

Application

  • 6
  • 5
  • 3
  • 3
  • 3
  • 3
  • 2
  • 1
  • 1
  • 1
  • 1
  • 1
Western Blotting (WB), ELISA, Immunohistochemistry (Paraffin-embedded Sections) (IHC (p))
  • Binding Specificity

    • 4
    • 1
    • 1
    AA 360-440

    Purpose

    AP-2α/β Polyclonal Antibody

    Specificity

    AP-2α/β Polyclonal Antibody detects endogenous levels of AP-2α/β protein.

    Purification

    The antibody was affinity-purified from rabbit antiserum by affinity-chromatography using epitope-specific immunogen

    Immunogen

    Synthesized peptide derived from the C-terminal region of human AP-2alpha/beta at AA range: 360-440

    Isotype

    IgG
  • Application Notes

    Optimal working dilutions should be determined experimentally by the investigator. Suggested starting dilutions are as follows: WB (1:500-1:2000), IHC-P (1:100-1:300), ELISA (1:10000). Not yet tested in other applications.

    Comment

    Primary Antibody

    Restrictions

    For Research Use only
  • Format

    Liquid

    Concentration

    1 mg/mL

    Buffer

    PBS containing 50 % Glycerol, 0.5 % BSA and 0.02 % Sodium Azide.

    Preservative

    Sodium azide

    Precaution of Use

    This product contains Sodium azide: a POISONOUS AND HAZARDOUS SUBSTANCE which should be handled by trained staff only.

    Storage

    -20 °C

    Storage Comment

    Stable for one year at -20°C from date of shipment. For maximum recovery of product, centrifuge the original vial after thawing and prior to removing the cap. Aliquot to avoid repeated freezing and thawing.
  • Target

    AP2 alpha/beta

    Alternative Name

    AP-2alpha/beta

    Background

    Rabbit Anti-AP-2α/β Polyclonal Antibody,TFAP2A, AP2TF, TFAP2, Transcription factor AP-2-alpha, AP2-alpha, AP-2 transcription factor, Activating enhancer-binding protein 2-alpha, Activator protein 2, AP-2, TFAP2B, Transcription factor AP-2-beta, AP2-beta, Activating enhancer-bindi,Transcription factor AP-2 alpha encoded by TFAP2A is a transcription factor that binds the consensus sequence 5'-GCCNNNGGC-3'. The encoded protein functions as either a homodimer or as a heterodimer with similar family members. This protein activates the transcription of some genes while inhibiting the transcription of others. Defects in this gene are a cause of branchiooculofacial syndrome (BOFS). Three transcript variants encoding different isoforms have been found for TFAP2A.,Transcription factor AP-2-alpha

    Gene ID

    7020
You are here:
Chat with us!