Phone:
+1 877 302 8632
Fax:
+1 888 205 9894 (Toll-free)
E-Mail:
orders@antibodies-online.com

Cytochrome C antibody

This Mouse Monoclonal antibody specifically detects Cytochrome C in WB, IHC and IF. It exhibits reactivity toward Human, Rat, Mouse and Chicken.
Catalog No. ABIN7203098
$367.10
Plus shipping costs $50.00
100 μL
Shipping to: United States
Delivery in 12 to 16 Business Days

Quick Overview for Cytochrome C antibody (ABIN7203098)

Target

See all Cytochrome C (CYCS) Antibodies
Cytochrome C (CYCS) (Cytochrome C, Somatic (CYCS))

Reactivity

  • 227
  • 189
  • 168
  • 64
  • 59
  • 53
  • 52
  • 50
  • 44
  • 19
  • 7
  • 7
  • 5
  • 4
  • 4
  • 1
  • 1
  • 1
  • 1
  • 1
  • 1
  • 1
  • 1
  • 1
Human, Rat, Mouse, Chicken

Host

  • 120
  • 119
  • 6
  • 1
Mouse

Clonality

  • 163
  • 82
  • 1
Monoclonal

Conjugate

  • 117
  • 18
  • 7
  • 6
  • 6
  • 6
  • 6
  • 6
  • 6
  • 6
  • 4
  • 4
  • 4
  • 4
  • 4
  • 4
  • 3
  • 2
  • 2
  • 2
  • 2
  • 2
  • 2
  • 2
  • 2
  • 2
  • 2
  • 2
  • 2
  • 2
  • 2
  • 2
  • 2
  • 1
  • 1
  • 1
This Cytochrome C antibody is un-conjugated

Application

  • 192
  • 111
  • 88
  • 73
  • 40
  • 39
  • 36
  • 28
  • 27
  • 23
  • 14
  • 11
  • 8
  • 4
  • 3
  • 3
  • 2
  • 2
  • 2
  • 2
  • 1
  • 1
  • 1
  • 1
  • 1
  • 1
  • 1
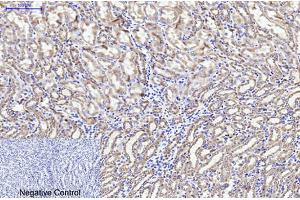
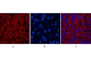
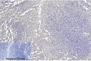
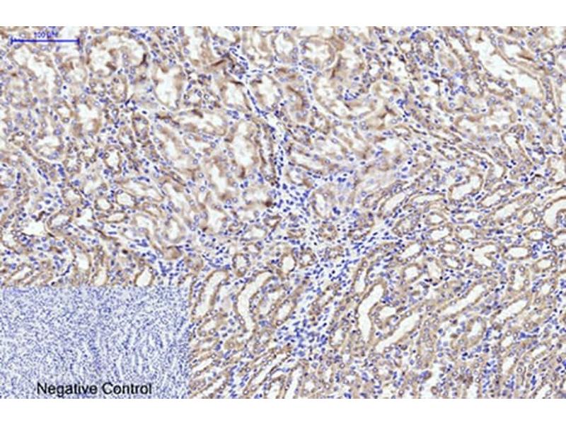
Western Blotting (WB), Immunohistochemistry (IHC), Immunofluorescence (IF)
  • Purpose

    Mouse Anti-CYCS Monoclonal Antibody

    Specificity

    The antibody detects endogenous CYCS protein.

    Purification

    The antibody was affinity-purified from mouse ascites by affinity-chromatography using epitope-specific immunogen.

    Immunogen

    Recombinant Protein

    Isotype

    IgG1
  • Application Notes

    Optimal working dilutions should be determined experimentally by the investigator. Suggested starting dilutions are as follows: WB 1:1000-5000,IHC 1:500-1000,IF 1:200

    Restrictions

    For Research Use only
  • Format

    Liquid

    Concentration

    1 mg/mL

    Buffer

    PBS, pH 7.4, containing 0.5 % BSA, 0.02 % sodium azide as Preservative and 50 % Glycerol.

    Preservative

    Sodium azide

    Precaution of Use

    This product contains Sodium azide: a POISONOUS AND HAZARDOUS SUBSTANCE which should be handled by trained staff only.

    Storage

    -20 °C

    Storage Comment

    Stable for one year at -20°C from date of shipment. For maximum recovery of product, centrifuge the original vial after thawing and prior to removing the cap. Aliquot to avoid repeated freezing and thawing.

    Expiry Date

    12 months
  • Target

    Cytochrome C (CYCS) (Cytochrome C, Somatic (CYCS))

    Alternative Name

    CYCS

    Background

    CYCS (cytochrome c, somatic) encodes a small heme protein that functions as a central component of the electron transport chain in mitochondria. The encoded protein associates with the inner membrane of the mitochondrion where it accepts electrons from cytochrome b and transfers them to the cytochrome oxidase complex. This protein is also involved in initiation of apoptosis. Mutations in CYCS are associated with autosomal dominant nonsyndromic thrombocytopenia. Numerous processed pseudogenes of CYCS are found throughout the human genome.

    Molecular Weight

    14kD

    Gene ID

    54205

    UniProt

    P99999

    Pathways

    Apoptosis, Caspase Cascade in Apoptosis, Positive Regulation of Endopeptidase Activity
You are here:
Chat with us!