Phone:
+1 877 302 8632
Fax:
+1 888 205 9894 (Toll-free)
E-Mail:
orders@antibodies-online.com

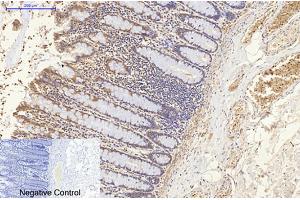
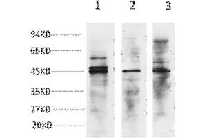
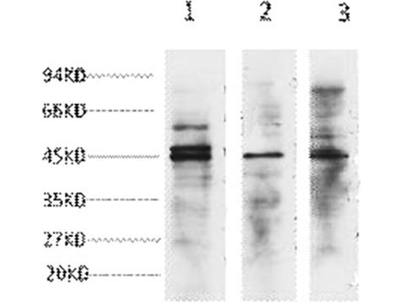
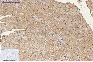
ENO2/NSE antibody

The Mouse Monoclonal anti-ENO2/NSE antibody (ABIN7203574) specifically detects ENO2/NSE in WB, IHC and IF. The antibody is reactive with Human, Mouse and Rat samples.
Catalog No. ABIN7203574
$367.10
Plus shipping costs $50.00
100 μL
Shipping to: United States
Delivery in 12 to 16 Business Days

Quick Overview for ENO2/NSE antibody (ABIN7203574)

Target

See all ENO2/NSE (ENO2) Antibodies
ENO2/NSE (ENO2) (Enolase 2 (Gamma, Neuronal) (ENO2))

Reactivity

  • 242
  • 99
  • 82
  • 6
  • 5
  • 5
  • 5
  • 5
  • 3
  • 3
  • 3
  • 3
  • 2
  • 2
  • 2
  • 2
  • 1
Human, Mouse, Rat

Host

  • 128
  • 126
  • 5
  • 1
  • 1
Mouse

Clonality

  • 145
  • 116
Monoclonal

Conjugate

  • 142
  • 21
  • 17
  • 9
  • 6
  • 6
  • 3
  • 3
  • 3
  • 3
  • 3
  • 3
  • 2
  • 2
  • 2
  • 2
  • 2
  • 2
  • 2
  • 2
  • 2
  • 2
  • 2
  • 2
  • 2
  • 2
  • 2
  • 2
  • 2
  • 2
  • 2
  • 2
  • 1
  • 1
This ENO2/NSE antibody is un-conjugated

Application

  • 186
  • 137
  • 70
  • 43
  • 35
  • 34
  • 26
  • 26
  • 17
  • 13
  • 11
  • 9
  • 8
  • 6
  • 3
  • 2
  • 2
  • 1
  • 1
  • 1
  • 1
  • 1
Western Blotting (WB), Immunohistochemistry (IHC), Immunofluorescence (IF)
  • Purpose

    Mouse Anti-NSE Monoclonal Antibody

    Specificity

    The antibody detects endogenous NSE proteins.

    Purification

    The antibody was affinity-purified from mouse ascites by affinity-chromatography using specific immunogen.

    Immunogen

    Synthetic Peptide

    Isotype

    IgG1
  • Application Notes

    Optimal working dilutions should be determined experimentally by the investigator. Suggested starting dilutions are as follows: WB 1:2000,IHC 1:200,IF 1:200

    Restrictions

    For Research Use only
  • Format

    Liquid

    Concentration

    1 mg/mL

    Buffer

    PBS, pH 7.4, containing 0.5 % BSA, 0.02 % sodium azide as Preservative and 50 % Glycerol.

    Preservative

    Sodium azide

    Precaution of Use

    This product contains Sodium azide: a POISONOUS AND HAZARDOUS SUBSTANCE which should be handled by trained staff only.

    Storage

    -20 °C

    Storage Comment

    Stable for one year at -20°C from date of shipment. For maximum recovery of product, centrifuge the original vial after thawing and prior to removing the cap. Aliquot to avoid repeated freezing and thawing.

    Expiry Date

    12 months
  • Target

    ENO2/NSE (ENO2) (Enolase 2 (Gamma, Neuronal) (ENO2))

    Alternative Name

    NSE

    Background

    ENO2, Gamma-enolase, 2-phospho-D-glycerate hydro-lyase, Enolase 2, Neural enolase, Neuron-specific enolase, NSEENO2 encodes one of the three enolase isoenzymes found in mammals. This isoenzyme (enolase 2), a homodimer, is found in mature neurons and cells of neuronal origin. A switch from alpha enolase to gamma enolase occurs in neural tissue during development in rats and primates.

    Molecular Weight

    47kD

    Gene ID

    2026

    UniProt

    P09104
You are here:
Chat with us!