Phone:
+1 877 302 8632
Fax:
+1 888 205 9894 (Toll-free)
E-Mail:
orders@antibodies-online.com

OPN4 antibody (AA 400-480)

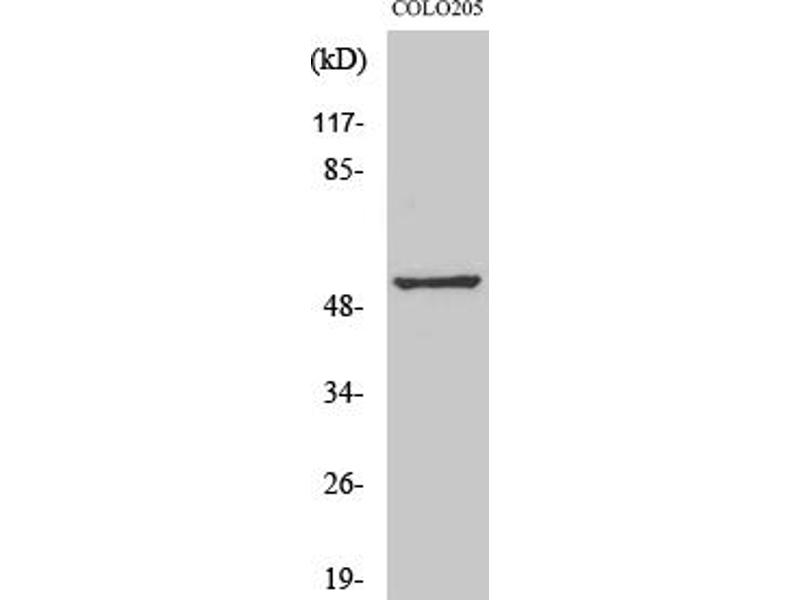
The Rabbit Polyclonal anti-OPN4 antibody (ABIN7215736) specifically detects OPN4 in WB, ELISA and IF. The antibody is reactive with Human samples.
Catalog No. ABIN7215736
$379.10
Plus shipping costs $50.00
Shipping to: United States
Delivery in 12 to 16 Business Days

Quick Overview for OPN4 antibody (AA 400-480) (ABIN7215736)

Target

See all OPN4 Antibodies
OPN4 (Opsin 4 (OPN4))

Reactivity

  • 6
  • 2
  • 1
Human

Host

  • 7
Rabbit

Clonality

  • 7
Polyclonal

Conjugate

  • 7
This OPN4 antibody is un-conjugated

Application

  • 7
  • 5
  • 3
  • 1
Western Blotting (WB), ELISA, Immunofluorescence (IF)
  • Binding Specificity

    • 3
    • 1
    • 1
    • 1
    • 1
    AA 400-480

    Purpose

    Melanopsin Polyclonal Antibody

    Specificity

    Melanopsin Polyclonal Antibody detects endogenous levels of Melanopsin protein.

    Purification

    The antibody was affinity-purified from rabbit antiserum by affinity-chromatography using epitope-specific immunogen

    Immunogen

    Synthesized peptide derived from the C-terminal region of human Melanopsin at AA range: 400-480

    Isotype

    IgG
  • Application Notes

    Optimal working dilutions should be determined experimentally by the investigator. Suggested starting dilutions are as follows: WB (1:500-1:2000), IF (1:200-1:1000), ELISA (1:5000). Not yet tested in other applications.

    Comment

    Primary Antibody

    Restrictions

    For Research Use only
  • Format

    Liquid

    Concentration

    1 mg/mL

    Buffer

    PBS containing 50 % Glycerol, 0.5 % BSA and 0.02 % Sodium Azide.

    Preservative

    Sodium azide

    Precaution of Use

    This product contains Sodium azide: a POISONOUS AND HAZARDOUS SUBSTANCE which should be handled by trained staff only.

    Storage

    -20 °C

    Storage Comment

    Stable for one year at -20°C from date of shipment. For maximum recovery of product, centrifuge the original vial after thawing and prior to removing the cap. Aliquot to avoid repeated freezing and thawing.
  • Target

    OPN4 (Opsin 4 (OPN4))

    Alternative Name

    Melanopsin

    Background

    Rabbit Anti-Melanopsin Polyclonal Antibody,OPN4, MOP, Melanopsin, Opsin-4,Opsins are members of the guanine nucleotide-binding protein (G protein)-coupled receptor superfamily. OPN4 encodes a photoreceptive opsin protein melanopsin that is expressed within the ganglion and amacrine cell layers of the retina. In mouse, retinal ganglion cell axons expressing this gene projected to the suprachiasmatic nucleus and other brain nuclei involved in circadian photoentrainment. In mouse, this protein is coupled to a transient receptor potential (TRP) ion channel through a G protein signaling pathway and produces a physiologic light response via membrane depolarization and increased intracellular calcium. Melanopsin functions as a sensory photopigment and may also have photoisomerase activity. Experiments with knockout mice indicate that this gene attenuates, but does not abolish, photoentrainment. Alternative splicing results in multiple transcript variants encoding different isoforms.,Melanopsin

    Molecular Weight

    observerd band 55kDa

    Gene ID

    94233

    UniProt

    Q9UHM6
You are here:
Chat with us!