Phone:
+1 877 302 8632
Fax:
+1 888 205 9894 (Toll-free)
E-Mail:
orders@antibodies-online.com

PIK3R1 antibody (pTyr607)

The Rabbit Polyclonal anti-PIK3R1 antibody is suitable to detect PIK3R1 in samples from Human, Mouse, Rat and Chicken. It has been validated for WB, ELISA, IF and IHC (p).
Catalog No. ABIN7213278
$379.10
Plus shipping costs $50.00
Shipping to: United States
Delivery in 12 to 16 Business Days

Quick Overview for PIK3R1 antibody (pTyr607) (ABIN7213278)

Target

See all PIK3R1 (PI3K p85a) Antibodies
PIK3R1 (PI3K p85a) (Phosphoinositide 3 Kinase, p85 alpha (PI3K p85a))

Reactivity

  • 140
  • 102
  • 78
  • 17
  • 16
  • 7
  • 5
  • 4
  • 3
  • 3
  • 2
  • 2
  • 2
  • 1
  • 1
Human, Mouse, Rat, Chicken

Host

  • 122
  • 29
Rabbit

Clonality

  • 94
  • 57
Polyclonal

Conjugate

  • 80
  • 10
  • 7
  • 6
  • 3
  • 3
  • 3
  • 3
  • 3
  • 3
  • 3
  • 3
  • 2
  • 2
  • 2
  • 2
  • 2
  • 2
  • 2
  • 2
  • 2
  • 2
  • 2
  • 1
  • 1
This PIK3R1 antibody is un-conjugated

Application

  • 124
  • 62
  • 42
  • 28
  • 28
  • 23
  • 18
  • 17
  • 16
  • 8
  • 7
  • 2
  • 2
  • 1
  • 1
  • 1
  • 1
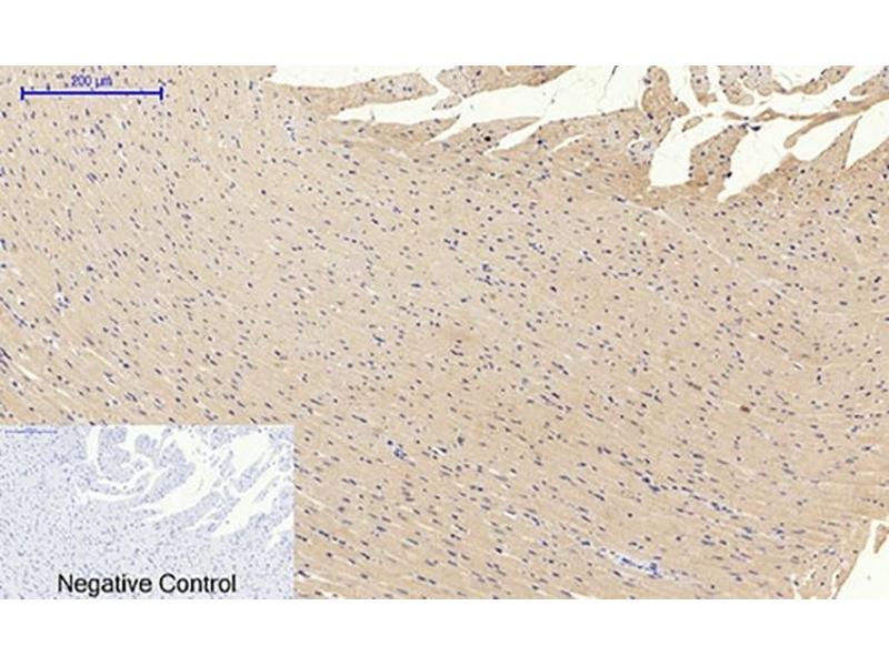
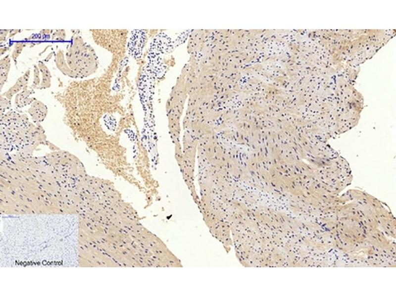
Western Blotting (WB), ELISA, Immunofluorescence (IF), Immunohistochemistry (Paraffin-embedded Sections) (IHC (p))
  • Binding Specificity

    • 21
    • 15
    • 14
    • 12
    • 10
    • 10
    • 9
    • 9
    • 8
    • 5
    • 4
    • 3
    • 3
    • 2
    • 2
    • 2
    • 2
    • 2
    • 2
    • 1
    • 1
    • 1
    • 1
    • 1
    • 1
    • 1
    • 1
    • 1
    • 1
    • 1
    • 1
    • 1
    • 1
    • 1
    • 1
    • 1
    • 1
    pTyr607

    Purpose

    PI 3-kinase p85α (phospho Tyr607) Polyclonal Antibody

    Specificity

    Phospho-PI 3-kinase p85α (Y607) Polyclonal Antibody detects endogenous levels of PI 3-kinase p85α protein only when phosphorylated at Y607.

    Purification

    The antibody was affinity-purified from rabbit antiserum by affinity-chromatography using epitope-specific immunogen

    Immunogen

    Synthesized peptide derived from human PI 3-kinase p85alpha Phospho-Tyr607

    Isotype

    IgG
  • Application Notes

    Optimal working dilutions should be determined experimentally by the investigator. Suggested starting dilutions are as follows: WB (1:500-1:2000), IHC-P (1:100-1:300), ELISA (1:10000). Not yet tested in other applications.

    Comment

    Primary Antibody

    Restrictions

    For Research Use only
  • Format

    Liquid

    Concentration

    1 mg/mL

    Buffer

    PBS containing 50 % Glycerol, 0.5 % BSA and 0.02 % Sodium Azide.

    Preservative

    Sodium azide

    Precaution of Use

    This product contains Sodium azide: a POISONOUS AND HAZARDOUS SUBSTANCE which should be handled by trained staff only.

    Storage

    -20 °C

    Storage Comment

    Stable for one year at -20°C from date of shipment. For maximum recovery of product, centrifuge the original vial after thawing and prior to removing the cap. Aliquot to avoid repeated freezing and thawing.
  • Target

    PIK3R1 (PI3K p85a) (Phosphoinositide 3 Kinase, p85 alpha (PI3K p85a))

    Alternative Name

    PI 3-kinase p85alpha

    Background

    Rabbit Anti-PI 3-kinase p85α (phospho Tyr607) Polyclonal Antibody,PIK3R1, GRB1, Phosphatidylinositol 3-kinase regulatory subunit alpha, PI3-kinase regulatory subunit alpha, PI3K regulatory subunit alpha, PtdIns-3-kinase regulatory subunit alpha, Phosphatidylinositol 3-kinase 85 kDa regulatory subunit alph,Phosphatidylinositol 3-kinase phosphorylates the inositol ring of phosphatidylinositol at the 3-prime position. The enzyme comprises a 110 kD catalytic subunit and a regulatory subunit of either 85, 55, or 50 kD. PIK3R1 encodes the 85 kD regulatory subunit. Phosphatidylinositol 3-kinase plays an important role in the metabolic actions of insulin, and a mutation in PIK3R1 has been associated with insulin resistance. Alternative splicing of PIK3R1 results in four transcript variants encoding different isoforms.,Phosphatidylinositol 3-kinase regulatory subunit alpha

    Molecular Weight

    observerd band 80kDa

    Gene ID

    5295

    UniProt

    P27986

    Pathways

    TCR Signaling, Response to Growth Hormone Stimulus, Regulation of Muscle Cell Differentiation, Skeletal Muscle Fiber Development, Hepatitis C, Protein targeting to Nucleus, VEGF Signaling, BCR Signaling, Warburg Effect
You are here:
Chat with us!