Phone:
+1 877 302 8632
Fax:
+1 888 205 9894 (Toll-free)
E-Mail:
orders@antibodies-online.com

PI3K p85 alpha/gamma antibody

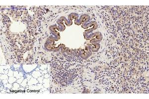
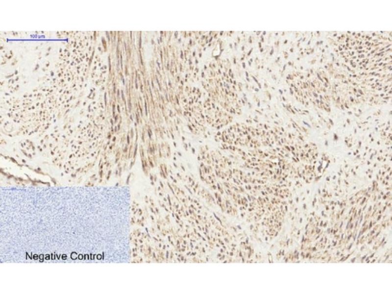
The Rabbit Polyclonal anti-PI3K p85 alpha/gamma antibody (ABIN7216546) specifically detects PI3K p85 alpha/gamma in WB, ELISA, IF and IHC (p). The antibody is reactive with Human, Mouse, Rat, Monkey and Chicken samples.
Catalog No. ABIN7216546
$379.10
Plus shipping costs $50.00
Shipping to: United States
Delivery in 12 to 16 Business Days

Quick Overview for PI3K p85 alpha/gamma antibody (ABIN7216546)

Target

PI3K p85 alpha/gamma (PI3K p85a/g) (Phosphoinositide 3 Kinase, p85 alpha/gamma (PI3K p85a/g))

Reactivity

Human, Mouse, Rat, Monkey, Chicken

Host

  • 21
Rabbit

Clonality

  • 21
Polyclonal

Conjugate

  • 6
  • 1
  • 1
  • 1
  • 1
  • 1
  • 1
  • 1
  • 1
  • 1
  • 1
  • 1
  • 1
  • 1
  • 1
  • 1
This PI3K p85 alpha/gamma antibody is un-conjugated

Application

  • 21
  • 14
  • 13
  • 13
  • 8
  • 5
  • 4
  • 3
  • 3
  • 2
Western Blotting (WB), ELISA, Immunofluorescence (IF), Immunohistochemistry (Paraffin-embedded Sections) (IHC (p))
  • Purpose

    PI 3-kinase p85α/γ Polyclonal Antibody

    Specificity

    PI 3-kinase p85α/γ Polyclonal Antibody detects endogenous levels of PI 3-kinase p85α/γ protein.

    Purification

    The antibody was affinity-purified from rabbit antiserum by affinity-chromatography using epitope-specific immunogen

    Immunogen

    Synthesized peptide derived from human PI 3-kinase p85/p55 around the non-phosphorylation site of Y458/199

    Isotype

    IgG
  • Application Notes

    Optimal working dilutions should be determined experimentally by the investigator. Suggested starting dilutions are as follows: WB (1:500-1:2000), IHC-P (1:100-1:300), IF (1:200-1:1000), ELISA (1:20000). Not yet tested in other applications.

    Comment

    Primary Antibody

    Restrictions

    For Research Use only
  • Format

    Liquid

    Concentration

    1 mg/mL

    Buffer

    PBS containing 50 % Glycerol, 0.5 % BSA and 0.02 % Sodium Azide.

    Preservative

    Sodium azide

    Precaution of Use

    This product contains Sodium azide: a POISONOUS AND HAZARDOUS SUBSTANCE which should be handled by trained staff only.

    Storage

    -20 °C

    Storage Comment

    Stable for one year at -20°C from date of shipment. For maximum recovery of product, centrifuge the original vial after thawing and prior to removing the cap. Aliquot to avoid repeated freezing and thawing.
  • Target

    PI3K p85 alpha/gamma (PI3K p85a/g) (Phosphoinositide 3 Kinase, p85 alpha/gamma (PI3K p85a/g))

    Alternative Name

    PI 3-kinase p85alpha/gamma

    Background

    Rabbit Anti-PI 3-kinase p85α/γ Polyclonal Antibody,PIK3R1, GRB1, Phosphatidylinositol 3-kinase regulatory subunit alpha, PI3-kinase regulatory subunit alpha, PI3K regulatory subunit alpha, PtdIns-3-kinase regulatory subunit alpha, Phosphatidylinositol 3-kinase 85 kDa regulatory subunit alph,Phosphatidylinositol 3-kinase phosphorylates the inositol ring of phosphatidylinositol at the 3-prime position. The enzyme comprises a 110 kD catalytic subunit and a regulatory subunit of either 85, 55, or 50 kD. PIK3R1 encodes the 85 kD regulatory subunit. Phosphatidylinositol 3-kinase plays an important role in the metabolic actions of insulin, and a mutation in PIK3R1 has been associated with insulin resistance. Alternative splicing of PIK3R1 results in four transcript variants encoding different isoforms.,Phosphatidylinositol 3-kinase regulatory subunit alpha

    Molecular Weight

    observerd band 54+83kDa

    Gene ID

    5295, 8503
You are here:
Chat with us!