Phone:
+1 877 302 8632
Fax:
+1 888 205 9894 (Toll-free)
E-Mail:
orders@antibodies-online.com

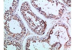
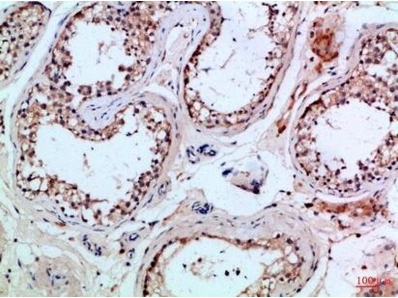
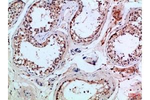
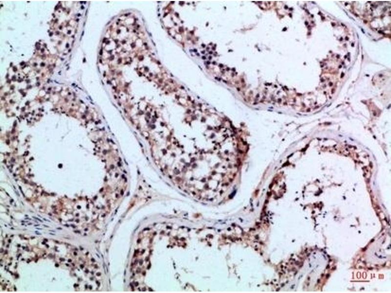
PIK3R2 antibody (AA 1-60)

The Rabbit Polyclonal anti-PIK3R2 antibody is suitable to detect PIK3R2 in samples from Human, Rat and Mouse. It has been validated for WB, ELISA, IHC and IF.
Catalog No. ABIN7230630
$379.10
Plus shipping costs $50.00
Shipping to: United States
Delivery in 12 to 16 Business Days

Quick Overview for PIK3R2 antibody (AA 1-60) (ABIN7230630)

Target

See all PIK3R2 (PI3K p85b) Antibodies
PIK3R2 (PI3K p85b) (Phosphoinositide 3 Kinase, p85 beta (PI3K p85b))

Reactivity

  • 129
  • 69
  • 31
  • 18
  • 14
  • 4
  • 1
  • 1
  • 1
  • 1
Human, Rat, Mouse

Host

  • 120
  • 9
Rabbit

Clonality

  • 99
  • 30
Polyclonal

Conjugate

  • 57
  • 9
  • 8
  • 7
  • 4
  • 4
  • 3
  • 3
  • 3
  • 3
  • 3
  • 3
  • 2
  • 2
  • 2
  • 2
  • 2
  • 2
  • 2
  • 2
  • 2
  • 1
  • 1
  • 1
  • 1
This PIK3R2 antibody is un-conjugated

Application

  • 103
  • 46
  • 46
  • 17
  • 16
  • 13
  • 13
  • 12
  • 12
  • 11
  • 6
  • 3
Western Blotting (WB), ELISA, Immunohistochemistry (IHC), Immunofluorescence (IF)
  • Binding Specificity

    • 15
    • 9
    • 8
    • 8
    • 8
    • 6
    • 4
    • 4
    • 3
    • 3
    • 3
    • 2
    • 2
    • 2
    • 2
    • 1
    • 1
    • 1
    • 1
    • 1
    • 1
    • 1
    • 1
    • 1
    • 1
    • 1
    • 1
    • 1
    • 1
    • 1
    • 1
    AA 1-60

    Purpose

    Rabbit Anti-PI 3-Kinase p85β Polyclonal Antibody

    Specificity

    The antibody detects endogenous levels of PI 3-Kinase p85β

    Purification

    The antibody was affinity-purified from rabbit antiserum by affinity-chromatography using epitope-specific immunogen.

    Immunogen

    Synthesized peptide derived from part region of human PI 3-Kinase p85beta protein at AA range: 1-60

    Isotype

    IgG
  • Application Notes

    Optimal working dilutions should be determined experimentally by the investigator. Suggested starting dilutions are as follows: WB 1:500-2000,IHC 1:50-200,ELISA 1:10000-20000,IF 1:50-200

    Restrictions

    For Research Use only
  • Format

    Liquid

    Concentration

    1 mg/mL

    Buffer

    Liquid in PBS containing 50 % glycerol, 0.5 % BSA and 0.02 % sodium azide.

    Preservative

    Sodium azide

    Precaution of Use

    This product contains Sodium azide: a POISONOUS AND HAZARDOUS SUBSTANCE which should be handled by trained staff only.

    Storage

    -20 °C

    Storage Comment

    Stable for one year at -20°C from date of shipment. For maximum recovery of product, centrifuge the original vial after thawing and prior to removing the cap. Aliquot to avoid repeated freezing and thawing.

    Expiry Date

    12 months
  • Target

    PIK3R2 (PI3K p85b) (Phosphoinositide 3 Kinase, p85 beta (PI3K p85b))

    Alternative Name

    PI 3-Kinase p85beta

    Background

    Phosphatidylinositol 3-kinase regulatory subunit beta, PI3-kinase regulatory subunit beta, PI3K regulatory subunit beta, PtdIns-3-kinase regulatory subunit beta, Phosphatidylinositol 3-kinase 85 kDa regulatory subunit beta, PI3-kinase subunit p85-beta, PtdIns-3-kinase regulatory subunit p85-betaPhosphatidylinositol 3-kinase (PI3K) is a lipid kinase that phosphorylates phosphatidylinositol and similar compounds, creating second messengers important in growth signaling pathways. PI3K functions as a heterodimer of a regulatory and a catalytic subunit. The protein encoded by PIK3R2 is a regulatory component of PI3K. Two transcript variants, one protein coding and the other non-protein coding, have been found for PIK3R2. PIK3R2 (Phosphoinositide-3-Kinase Regulatory Subunit 2) is a Protein Coding gene. Diseases associated with PIK3R2 include Megalencephaly-Polymicrogyria-Polydactyly-Hydrocephalus Syndrome 1 and Mpph Syndrome. Among its related pathways are 4-1BB Pathway and Common Cytokine Receptor Gamma-Chain Family Signaling Pathways.

    Gene ID

    5296

    UniProt

    O00459

    Pathways

    VEGF Signaling, BCR Signaling
You are here:
Chat with us!