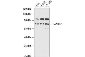
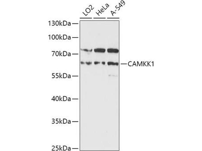
CAMKK1
Reactivity: Human
WB, ELISA
Host: Rabbit
Polyclonal
unconjugated
Application Notes
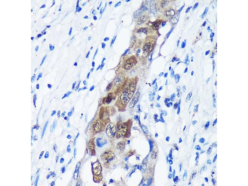
WB,1:500 - 1:2000,IHC,1:50 - 1:200
Restrictions
For Research Use only
Format
Liquid
Buffer
PBS with 0.02 % sodium azide,50 % glycerol, pH 7.3.
Preservative
Sodium azide
Precaution of Use
This product contains Sodium azide: a POISONOUS AND HAZARDOUS SUBSTANCE which should be handled by trained staff only.
Storage
-20 °C
Storage Comment
Store at -20°C. Avoid freeze / thaw cycles.
Target
CAMKK1
(Calcium/calmodulin-Dependent Protein Kinase Kinase 1, alpha (CAMKK1))
Alternative Name
CAMKK1
Background
The product of this gene belongs to the Serine/Threonine protein kinase family, and to the Ca(2+)/calmodulin-dependent protein kinase subfamily. This protein plays a role in the calcium/calmodulin-dependent (CaM) kinase cascade. Three transcript variants encoding two distinct isoforms have been identified for this gene.,CAMKK1,CAMKKA,Signal Transduction,Endocrine & Metabolism,AMPK Signaling Pathway,Neuroscience,Calcium Signaling,CAMKK1