Phone:
+1 877 302 8632
Fax:
+1 888 205 9894 (Toll-free)
E-Mail:
orders@antibodies-online.com

CAND1 antibody (AA 750-980)

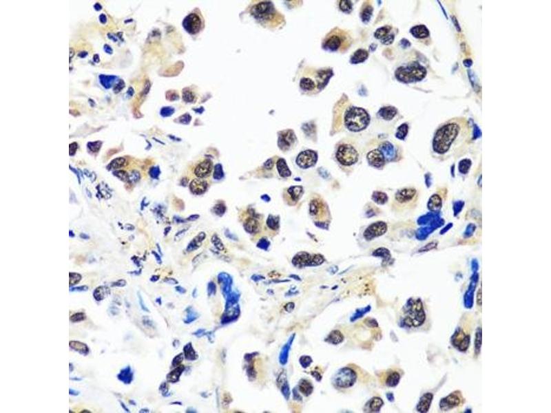
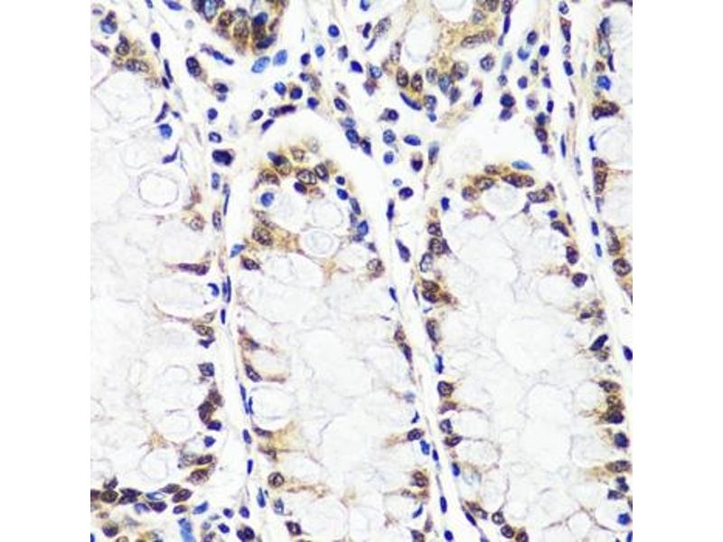
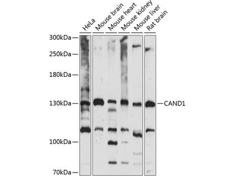
The Rabbit Polyclonal anti-CAND1 antibody (ABIN7266546) specifically detects CAND1 in WB and IHC. The antibody is reactive with Human samples.
Catalog No. ABIN7266546
$383.00
Plus shipping costs $50.00
Shipping to: United States
Delivery in 7 to 10 Business Days

Quick Overview for CAND1 antibody (AA 750-980) (ABIN7266546)

Target

See all CAND1 Antibodies
CAND1 (Cullin-Associated and Neddylation-Dissociated 1 (CAND1))

Reactivity

  • 21
  • 11
  • 9
  • 5
  • 5
  • 4
  • 4
  • 4
  • 4
  • 2
  • 2
  • 2
  • 2
  • 2
  • 1
Human

Host

  • 16
  • 5
Rabbit

Clonality

  • 17
  • 4
Polyclonal

Conjugate

  • 18
  • 1
  • 1
  • 1
This CAND1 antibody is un-conjugated

Application

  • 14
  • 10
  • 6
  • 5
  • 4
  • 3
  • 1
Western Blotting (WB), Immunohistochemistry (IHC)
  • Binding Specificity

    • 4
    • 4
    • 2
    • 2
    • 2
    • 1
    • 1
    • 1
    AA 750-980

    Purpose

    CAND1 Rabbit pAb

    Sequence

    GALSAMLDFF QALVVTGTNN LGYMDLLRML TGPVYSQSTA LTHKQSYYSI AKCVAALTRA CPKEGPAVVG QFIQDVKNSR STDSIRLLAL LSLGEVGHHI DLSGQLELKS VILEAFSSPS EEVKSAASYA LGSISVGNLP EYLPFVLQEI TSQPKRQYLL LHSLKEIISS ASVVGLKPYV ENIWALLLKH CECAEEGTRN VVAECLGKLT LIDPETLLPR LKGYLISGSS Y

    Cross-Reactivity

    Human, Mouse, Rat

    Characteristics

    Polyclonal Antibodies

    Purification

    Affinity purification

    Immunogen

    Recombinant fusion protein containing a sequence corresponding to amino acids 750-980 of human CAND1 (NP_060918.2).

    Isotype

    IgG
  • Application Notes

    WB,1:500 - 1:2000,IHC,1:50 - 1:100

    Restrictions

    For Research Use only
  • Format

    Liquid

    Buffer

    PBS with 0.02 % sodium azide,50 % glycerol, pH 7.3.

    Preservative

    Sodium azide

    Precaution of Use

    This product contains Sodium azide: a POISONOUS AND HAZARDOUS SUBSTANCE which should be handled by trained staff only.

    Storage

    -20 °C

    Storage Comment

    Store at -20°C. Avoid freeze / thaw cycles.
  • Target

    CAND1 (Cullin-Associated and Neddylation-Dissociated 1 (CAND1))

    Alternative Name

    CAND1

    Background

    This gene encodes an essential regulator of Cullin-RING ubiquitin ligases, which are in involved in ubiquitinylation of proteins degraded by the Ub proteasome system. The encoded protein binds to unneddylated cullin-RING box protein complexes and acts as an inhibitor of cullin neddylation and of Skp1, cullin, and F box ubiquitin ligase complex assembly and activity. In mammalian cell culture, this protein predominantly localizes to the cytoplasm. Knockdown of this gene in preadipocytes results in blocked adipogenesis. Alternative splicing results in multiple transcript variants.,CAND1,TIP120,TIP120A,Epigenetics & Nuclear Signaling,Cell Biology & Developmental Biology,Cell Cycle,Ubiquitin,CAND1

    Molecular Weight

    45kDa/117kDa/136kDa

    Gene ID

    55832

    UniProt

    Q86VP6

    Pathways

    Regulation of Actin Filament Polymerization
You are here:
Chat with us!