PBS with 0.02 % sodium azide,50 % glycerol, pH 7.3.
Preservative
Sodium azide
Precaution of Use
This product contains Sodium azide: a POISONOUS AND HAZARDOUS SUBSTANCE which should be handled by trained staff only.
Storage
-20 °C
Storage Comment
Store at -20°C. Avoid freeze / thaw cycles.
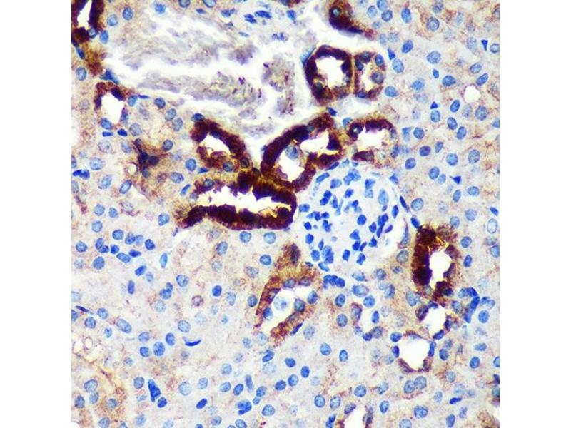
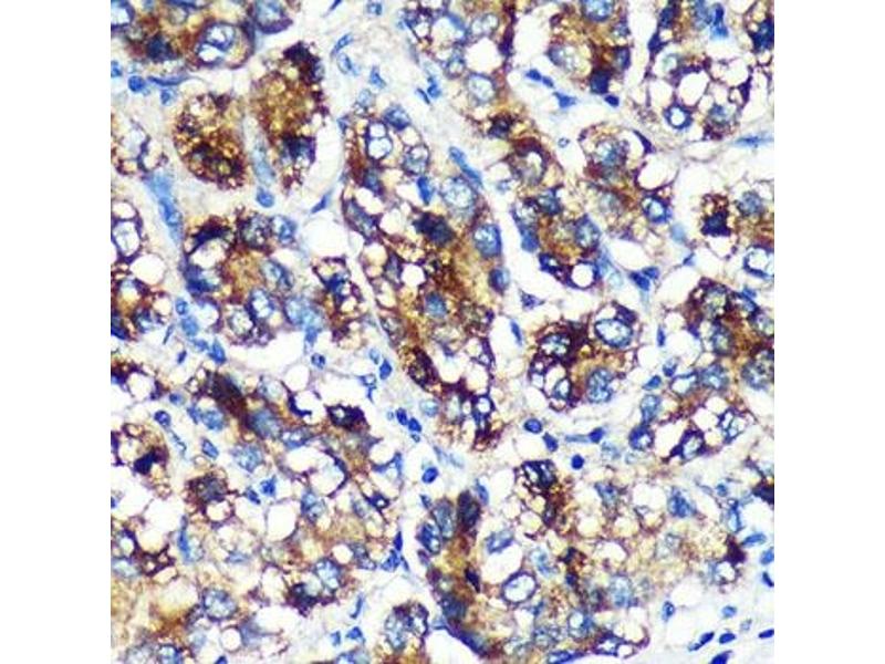
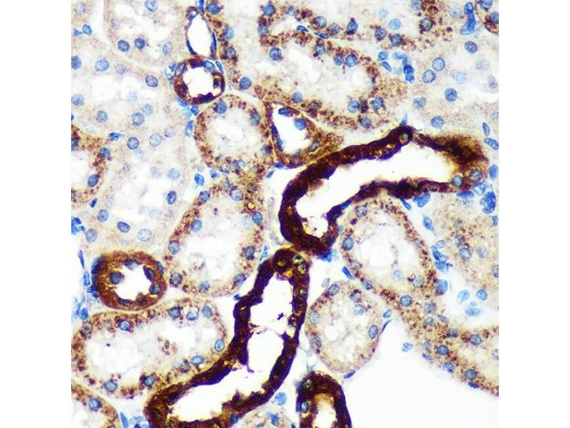
Target
EML4
(Echinoderm Microtubule Associated Protein Like 4 (EML4))
Alternative Name
EML4
Background
This gene is a member of the echinoderm microtubule associated protein-like family. The encoded WD-repeat protein may be involved in microtubule formation. Abnormal fusion of parts of this gene with portions of the anaplastic lymphoma receptor tyrosine kinase gene, which generates EML4-ALK fusion transcripts, is one of the primary mutations associated with non-small cell lung cancer. Alternative splicing of this gene results in two transcript variants.,EML4,C2orf2,ELP120,EMAP-4,EMAPL4,ROPP120,Cell Biology & Developmental Biology,Cytoskeleton,Microtubules,EML4