×
For best experience we recommend to activate Javascript in your browser.
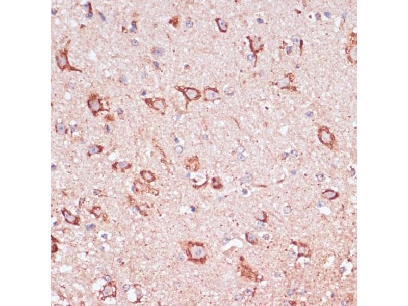
ENTPD6 antibody (AA 61-300)
The Rabbit Polyclonal anti-ENTPD6 antibody (ABIN7266897) specifically detects ENTPD6 in WB and IHC.
The antibody is reactive with Human samples.
Catalog No. ABIN7266897
$383.00
Plus shipping costs $50.00
20 μL ABIN7530646
100 μL ABIN7266897
500 μL ABIN7748672
1000 μL ABIN7748674
20 μL ABIN7530646
100 μL ABIN7266897
500 μL ABIN7748672
1000 μL ABIN7748674
Delivery in 7 to 10 Business Days
Quick Overview for ENTPD6 antibody (AA 61-300) (ABIN7266897)
Target
See all ENTPD6 Antibodies
ENTPD6
(Ectonucleoside Triphosphate diphosphohydrolase 6 (ENTPD6))
Reactivity
All reactivities for ENTPD6 antibodies
Human
Host
All hosts for ENTPD6 antibodies
Rabbit
Clonality
All clonalities for ENTPD6 antibodies
Polyclonal
Conjugate
All conjugates for ENTPD6 antibodies
This ENTPD6 antibody is un-conjugated
Application
All applications for ENTPD6 antibodies
Western Blotting (WB), Immunohistochemistry (IHC)
Product Details anti-ENTPD6 Antibody
(hide)
Binding Specificity
All epitopes for ENTPD6 antibodies
AA 61-300
Purpose
ENTPD6 Rabbit pAb
Sequence
WHRATATQAF FSITRAAPGA RWGQQAHSPL GTAADGHEVF YGIMFDAGST GTRVHVFQFT RPPRETPTLT HETFKALKPG LSAYADDVEK SAQGIRELLD VAKQDIPFDF WKATPLVLKA TAGLRLLPGE KAQKLLQKVK EVFKASPFLV GDDCVSIMNG TDEGVSAWIT INFLTGSLKT PGGSSVGMLD LGGGSTQIAF LPRVEGTLQA SPPGYLTALR MFNRTYKLYS YSYLGLGLMS
Cross-Reactivity
Human, Mouse, Rat
Characteristics
Polyclonal Antibodies
Purification
Affinity purification
Immunogen
Recombinant fusion protein containing a sequence corresponding to amino acids 61-300 of human ENTPD6 (NP_001304870.1).
Isotype
IgG
Alternatives
(show)
Application Details
(hide)
Application Notes
WB,1:500 - 1:2000,IHC,1:100 - 1:200
Restrictions
For Research Use only
Handling
(hide)
Format
Liquid
Buffer
PBS with 0.02 % sodium azide,50 % glycerol, pH 7.3.
Preservative
Sodium azide
Precaution of Use
This product contains Sodium azide: a POISONOUS AND HAZARDOUS SUBSTANCE which should be handled by trained staff only.
Storage
-20 °C
Storage Comment
Store at -20°C. Avoid freeze / thaw cycles.
Target Details for ENTPD6
(hide)
Target
ENTPD6
(Ectonucleoside Triphosphate diphosphohydrolase 6 (ENTPD6))
Alternative Name
ENTPD6
Background
ENTPD6 is similar to E-type nucleotidases (NTPases). NTPases, such as CD39, mediate catabolism of extracellular nucleotides. ENTPD6 contains 4 apyrase-conserved regions which are characteristic of NTPases. Alternative splicing results in multiple transcript variants encoding different isoforms.,ENTPD6,CD39L2,IL-6SAG,IL6ST2,NTPDase-6,dJ738P15.3,Cancer,Signal Transduction,Endocrine & Metabolism,ENTPD6
Molecular Weight
51kDa/53kDa
Gene ID
955
UniProt
O75354
Recently viewed
(hide)
You are here:
Homepage
anti-ENTPD6 antibody (AA 61-300) (ABIN7266897)
Chat with us , powered by LiveChat