Phone:
+1 877 302 8632
Fax:
+1 888 205 9894 (Toll-free)
E-Mail:
orders@antibodies-online.com

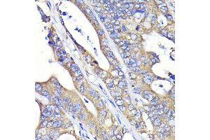
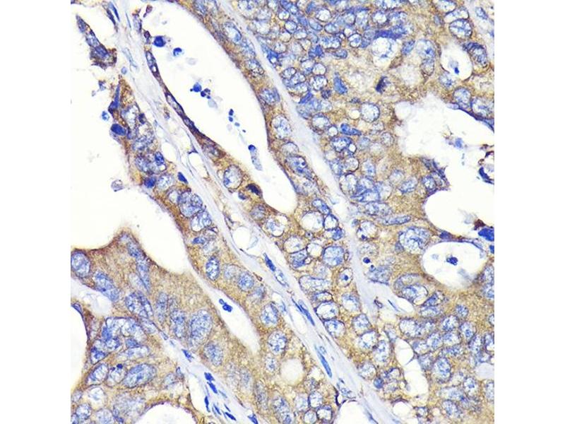
Fatty Acid Synthase antibody

The Rabbit Monoclonal anti-Fatty Acid Synthase antibody is suitable to detect Fatty Acid Synthase in samples from Human. It has been validated for WB, IHC, IP and IF.
Catalog No. ABIN7267157
$393.00
Plus shipping costs $50.00
Shipping to: United States
Delivery in 7 to 10 Business Days

Quick Overview for Fatty Acid Synthase antibody (ABIN7267157)

Target

See all Fatty Acid Synthase (FASN) Antibodies
Fatty Acid Synthase (FASN)

Reactivity

  • 82
  • 49
  • 41
  • 4
  • 3
  • 2
  • 2
  • 2
  • 1
  • 1
  • 1
  • 1
  • 1
  • 1
  • 1
  • 1
Human

Host

  • 70
  • 18
  • 2
Rabbit

Clonality

  • 52
  • 38
Monoclonal

Conjugate

  • 63
  • 4
  • 3
  • 3
  • 3
  • 3
  • 3
  • 3
  • 2
  • 1
  • 1
  • 1
This Fatty Acid Synthase antibody is un-conjugated

Application

  • 66
  • 38
  • 35
  • 26
  • 24
  • 20
  • 12
  • 7
  • 2
  • 2
  • 2
  • 1
  • 1
  • 1
Western Blotting (WB), Immunohistochemistry (IHC), Immunoprecipitation (IP), Immunofluorescence (IF)
  • Purpose

    Fatty Acid Synthase (FASN) Rabbit mAb

    Cross-Reactivity

    Human, Mouse

    Characteristics

    Monoclonal Antibodies

    Purification

    Affinity purification

    Immunogen

    A synthesized peptide derived from human FASN

    Isotype

    IgG
  • Application Notes

    WB,1:500 - 1:2000,IHC,1:50 - 1:200,IF,1:50 - 1:200,IP,1:50 - 1:200

    Restrictions

    For Research Use only
  • Format

    Liquid

    Buffer

    PBS with 0.02 % sodium azide,0.05 % BSA,50 % glycerol, pH 7.3.

    Preservative

    Sodium azide

    Precaution of Use

    This product contains Sodium azide: a POISONOUS AND HAZARDOUS SUBSTANCE which should be handled by trained staff only.

    Storage

    -20 °C

    Storage Comment

    Store at -20°C. Avoid freeze / thaw cycles.
  • Target

    Fatty Acid Synthase (FASN)

    Alternative Name

    FASN

    Background

    The enzyme encoded by this gene is a multifunctional protein. Its main function is to catalyze the synthesis of palmitate from acetyl-CoA and malonyl-CoA, in the presence of NADPH, into long-chain saturated fatty acids. In some cancer cell lines, this protein has been found to be fused with estrogen receptor-alpha (ER-alpha), in which the N-terminus of FAS is fused in-frame with the C-terminus of ER-alpha. [provided by RefSeq, Jul 2008],FAS,OA-519,SDR27X1,FASN,AMPK Signaling Pathway,Cancer,Cardiovascular,Endocrine & Metabolism,Epigenetics & Nuclear Signaling,Lipid Metabolism,Lipids,Lipids_Fatty Acids,Neuroscience,RNA Binding,Signal Transduction,Tumor biomarkers,FASN

    Molecular Weight

    273kDa

    Gene ID

    2194

    UniProt

    P49327

    Pathways

    AMPK Signaling
You are here:
Chat with us!