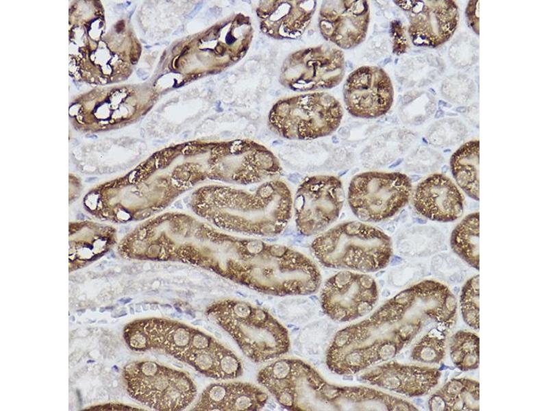
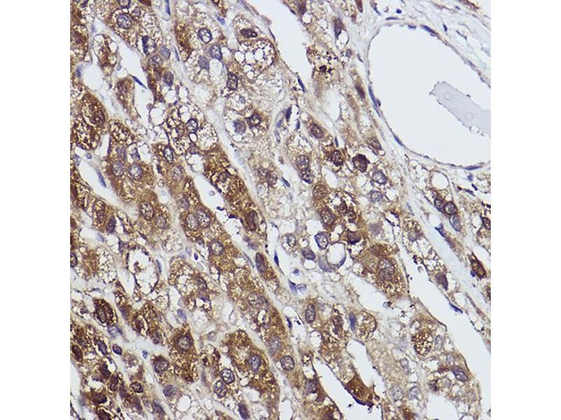
FBP1 antibody
Quick Overview for FBP1 antibody (ABIN7267269)
Target
See all FBP1 AntibodiesReactivity
Host
Clonality
Conjugate
Application
-
-
Purpose
- FBP1 Rabbit mAb
-
Cross-Reactivity
- Human, Mouse, Rat
-
Characteristics
- Monoclonal Antibodies
-
Purification
- Affinity purification
-
Immunogen
- A synthesized peptide derived from human FBP1
-
Isotype
- IgG
-
-
-
-
Application Notes
- WB,1:500 - 1:2000,IHC,1:50 - 1:200,IF,1:50 - 1:200
-
Restrictions
- For Research Use only
-
-
-
Format
- Liquid
-
Buffer
- PBS with 0.02 % sodium azide,0.05 % BSA,50 % glycerol, pH 7.3.
-
Preservative
- Sodium azide
-
Precaution of Use
- This product contains Sodium azide: a POISONOUS AND HAZARDOUS SUBSTANCE which should be handled by trained staff only.
-
Storage
- -20 °C
-
Storage Comment
- Store at -20°C. Avoid freeze / thaw cycles.
-
-
- FBP1 (Fructose-1,6-Bisphosphatase 1 (FBP1))
-
Alternative Name
- FBP1
-
Background
- Fructose-1,6-bisphosphatase 1, a gluconeogenesis regulatory enzyme, catalyzes the hydrolysis of fructose 1,6-bisphosphate to fructose 6-phosphate and inorganic phosphate. Fructose-1,6-diphosphatase deficiency is associated with hypoglycemia and metabolic acidosis. [provided by RefSeq, Jul 2008],FBP,Cancer,Carbohydrate metabolism,DNA Damage & Repair,Endocrine & Metabolism,Epigenetics & Nuclear Signaling,Nucleotide metabolism,Signal Transduction,FBP1
-
Molecular Weight
- 37 kDa
-
Gene ID
- 2203
-
UniProt
- P09467
-
Pathways
- Cellular Glucan Metabolic Process, Regulation of Carbohydrate Metabolic Process, Dicarboxylic Acid Transport
Target
-