Phone:
+1 877 302 8632
Fax:
+1 888 205 9894 (Toll-free)
E-Mail:
orders@antibodies-online.com

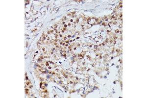
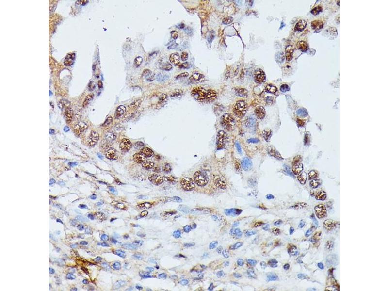
IGHMBP2 antibody (AA 540-720)

The Rabbit Polyclonal anti-IGHMBP2 antibody (ABIN7267848) specifically detects IGHMBP2 in WB, IHC and IF. The antibody is reactive with Human samples.
Catalog No. ABIN7267848
$383.00
Plus shipping costs $50.00
Shipping to: United States
Delivery in 7 to 10 Business Days

Quick Overview for IGHMBP2 antibody (AA 540-720) (ABIN7267848)

Target

See all IGHMBP2 Antibodies
IGHMBP2 (Immunoglobulin mu Binding Protein 2 (IGHMBP2))

Reactivity

  • 22
  • 14
  • 6
  • 2
  • 2
  • 2
  • 1
  • 1
Human

Host

  • 29
Rabbit

Clonality

  • 29
Polyclonal

Conjugate

  • 11
  • 3
  • 2
  • 2
  • 1
  • 1
  • 1
  • 1
  • 1
  • 1
  • 1
  • 1
  • 1
  • 1
  • 1
This IGHMBP2 antibody is un-conjugated

Application

  • 23
  • 13
  • 13
  • 11
  • 4
  • 3
  • 3
  • 2
Western Blotting (WB), Immunohistochemistry (IHC), Immunofluorescence (IF)
  • Binding Specificity

    • 15
    • 5
    • 3
    • 2
    AA 540-720

    Purpose

    IGHMBP2 Rabbit pAb

    Sequence

    PYNLQVDLLR QSLVHRHPEL EIKSVDGFQG REKEAVILSF VRSNRKGEVG FLAEDRRINV AVTRARRHVA VICDSRTVNN HAFLKTLVEY FTQHGEVRTA FEYLDDIVPE NYSHENSQGS SHAATKPQGP ATSTRTGSQR QEGGQEAAAP ARQGRKKPAG KSLASEAPSQ PSLNGGSPEG V

    Cross-Reactivity

    Human, Mouse, Rat

    Characteristics

    Polyclonal Antibodies

    Purification

    Affinity purification

    Immunogen

    Recombinant fusion protein containing a sequence corresponding to amino acids 540-720 of human IGHMBP2 (NP_002171.2).

    Isotype

    IgG
  • Application Notes

    WB,1:500 - 1:2000,IHC,1:50 - 1:100,IF,1:50 - 1:100

    Restrictions

    For Research Use only
  • Format

    Liquid

    Buffer

    PBS with 0.02 % sodium azide,50 % glycerol, pH 7.3.

    Preservative

    Sodium azide

    Precaution of Use

    This product contains Sodium azide: a POISONOUS AND HAZARDOUS SUBSTANCE which should be handled by trained staff only.

    Storage

    -20 °C

    Storage Comment

    Store at -20°C. Avoid freeze / thaw cycles.
  • Target

    IGHMBP2 (Immunoglobulin mu Binding Protein 2 (IGHMBP2))

    Alternative Name

    IGHMBP2

    Background

    This gene encodes a helicase superfamily member that binds a specific DNA sequence from the immunoglobulin mu chain switch region. Mutations in this gene lead to spinal muscle atrophy with respiratory distress type 1.,IGHMBP2,CATF1,CMT2S,HCSA,HMN6,SMARD1,SMUBP2,ZFAND7,Epigenetics & Nuclear Signaling,Neuroscience,Neurodegenerative Diseases,IGHMBP2

    Molecular Weight

    109kDa

    Gene ID

    3508

    UniProt

    P38935
You are here:
Chat with us!