MED4 antibody
Quick Overview for MED4 antibody (ABIN7268445)
Target
See all MED4 AntibodiesReactivity
Host
Clonality
Conjugate
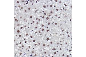
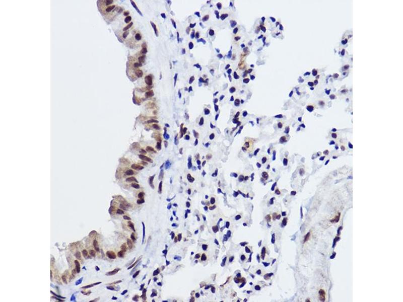
Application
-
-
Purpose
- MED4 Rabbit mAb
-
Cross-Reactivity
- Human, Mouse, Rat
-
Characteristics
- Monoclonal Antibodies
-
Purification
- Affinity purification
-
Immunogen
- A synthesized peptide derived from human MED4.
-
Isotype
- IgG
-
-
-
-
Application Notes
- WB,1:500 - 1:2000,IHC,1:50 - 1:200
-
Restrictions
- For Research Use only
-
-
-
Format
- Liquid
-
Buffer
- PBS with 0.02 % sodium azide,0.05 % BSA,50 % glycerol, pH 7.3.
-
Preservative
- Sodium azide
-
Precaution of Use
- This product contains Sodium azide: a POISONOUS AND HAZARDOUS SUBSTANCE which should be handled by trained staff only.
-
Storage
- -20 °C
-
Storage Comment
- Store at -20°C. Avoid freeze / thaw cycles.
-
-
- MED4 (Mediator Complex Subunit 4 (MED4))
-
Alternative Name
- MED4
-
Background
- This gene encodes a component of the Mediator complex. The Mediator complex interacts with DNA-binding gene-specific transcription factors to modulate transcription by RNA polymerase II. Alternatively spliced transcript variants encoding multiple isoforms have been observed for this gene.,MED4, ARC36, DRIP36, HSPC126, TRAP36, VDRIP, mediator complex subunit 4,Epigenetics & Nuclear Signaling,MED4
-
Molecular Weight
- 35kDa
-
Gene ID
- 29079
-
UniProt
- Q9NPJ6
-
Pathways
- Intracellular Steroid Hormone Receptor Signaling Pathway, Nuclear Hormone Receptor Binding, Regulation of Lipid Metabolism by PPARalpha
Target
-