Phone:
+1 877 302 8632
Fax:
+1 888 205 9894 (Toll-free)
E-Mail:
orders@antibodies-online.com

MAPK8/9/10 antibody

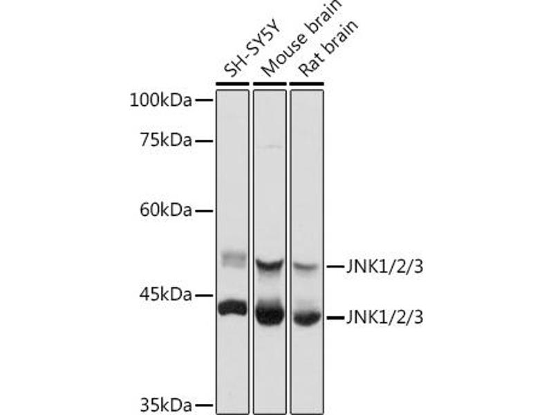
The Rabbit Polyclonal anti-MAPK8/9/10 antibody is suitable to detect MAPK8/9/10 in samples from Human. It has been validated for WB, IHC and IP.
Catalog No. ABIN7268630
$383.00
Plus shipping costs $50.00
Shipping to: United States
Delivery in 7 to 10 Business Days

Quick Overview for MAPK8/9/10 antibody (ABIN7268630)

Target

MAPK8/9/10 (Mitogen-Activated Protein Kinase 8/9/10 (MAPK8/9/10))

Reactivity

  • 8
  • 7
  • 7
Human

Host

  • 7
  • 1
Rabbit

Clonality

  • 7
  • 1
Polyclonal

Conjugate

  • 8
This MAPK8/9/10 antibody is un-conjugated

Application

  • 7
  • 7
  • 6
  • 3
  • 1
Western Blotting (WB), Immunohistochemistry (IHC), Immunoprecipitation (IP)
  • Purpose

    JNK1/2/3 Rabbit pAb

    Cross-Reactivity

    Human, Mouse, Rat

    Characteristics

    Polyclonal Antibodies

    Purification

    Affinity purification

    Immunogen

    Recombinant protein of human JNK1/2/3.

    Isotype

    IgG
  • Application Notes

    WB,1:500 - 1:2000,IHC,1:50 - 1:200,IP,1:50 - 1:200

    Restrictions

    For Research Use only
  • Format

    Liquid

    Buffer

    PBS with 0.02 % sodium azide,50 % glycerol, pH 7.3.

    Preservative

    Sodium azide

    Precaution of Use

    This product contains Sodium azide: a POISONOUS AND HAZARDOUS SUBSTANCE which should be handled by trained staff only.

    Storage

    -20 °C

    Storage Comment

    Store at -20°C. Avoid freeze / thaw cycles.
  • Target

    MAPK8/9/10 (Mitogen-Activated Protein Kinase 8/9/10 (MAPK8/9/10))

    Alternative Name

    MAPK8/MAPK9/MAPK10

    Background

    JNK belongs to MAP kinase family. MAP kinases act as an integration point for multiple biochemical signals, and are involved in a wide variety of cellular processes such as proliferation, differentiation, transcription regulation and development. JNK is activated by various cell stimuli, and targets specific transcription factors, and thus mediates immediate-early gene expression in response to cell stimuli. The activation of this kinase by tumor-necrosis factor alpha (TNF-alpha) is found to be required for TNF-alpha induced apoptosis. This kinase is also involved in UV radiation induced apoptosis, which is thought to be related to cytochrom c-mediated cell death pathway. Studies of the mouse counterpart of this gene suggested that this kinase play a key role in T cell proliferation, apoptosis and differentiation.JNK is expressed as ten different isoforms due to differential mRNA splicing. The predominant forms are JNK1,JNK2,and JNK3,MAPK8/MAPK9/MAPK10

    Molecular Weight

    35kDa/44kDa/48kDa/27kDa/52kDa

    Gene ID

    5599, 5601, 5602

    UniProt

    P45983, P45984, P53779
You are here:
Chat with us!