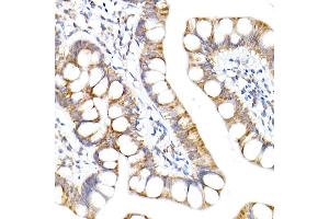
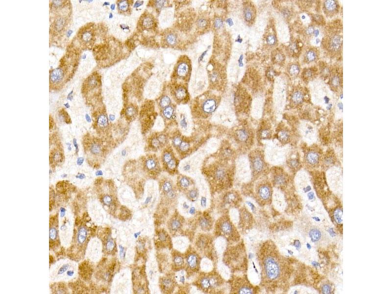
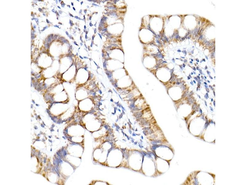
The human NDUFA1 gene codes for an essential component of complex I of the respiratory chain, which transfers electrons from NADH to ubiquinone. It has been noted that the N-terminal hydrophobic domain has the potential to be folded into an alpha-helix spanning the inner mitochondrial membrane with a C-terminal hydrophilic domain interacting with globular subunits of complex I. The highly conserved two-domain structure suggests that this feature is critical for the protein function and might act as an anchor for the NADH:ubiquinone oxidoreductase complex at the inner mitochondrial membrane. However, the NDUFA1 peptide is one of about 31 components of the 'hydrophobic protein' (HP) fraction of complex I which is involved in proton translocation. Thus the NDUFA1 peptide may also participate in that function.,NDUFA1,CI-MWFE,MWFE,ZNF183,Cancer,Signal Transduction,Endocrine & Metabolism,Mitochondrial metabolism,Mitochondrial markers,Oxidative phosphorylation,Neuroscience,Neurodegenerative Diseases,NDUFA1