Phone:
+1 877 302 8632
Fax:
+1 888 205 9894 (Toll-free)
E-Mail:
orders@antibodies-online.com

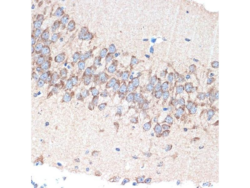
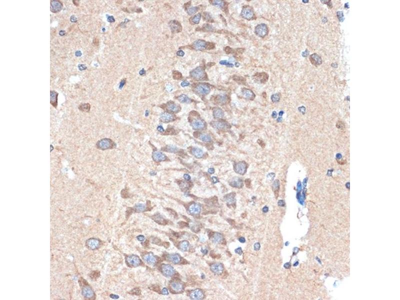
PAK3 antibody

The Rabbit Monoclonal anti-PAK3 antibody is suitable to detect PAK3 in samples from Human. It has been validated for WB and IHC.
Catalog No. ABIN7269161
$393.00
Plus shipping costs $50.00
Shipping to: United States
Delivery in 7 to 10 Business Days

Quick Overview for PAK3 antibody (ABIN7269161)

Target

See all PAK3 Antibodies
PAK3

Reactivity

  • 86
  • 42
  • 31
  • 4
Human

Host

  • 81
  • 5
  • 2
Rabbit

Clonality

  • 71
  • 18
Monoclonal

Conjugate

  • 38
  • 7
  • 5
  • 4
  • 3
  • 3
  • 3
  • 3
  • 3
  • 3
  • 2
  • 2
  • 1
  • 1
  • 1
  • 1
  • 1
  • 1
  • 1
  • 1
  • 1
  • 1
  • 1
  • 1
  • 1
This PAK3 antibody is un-conjugated

Application

  • 69
  • 40
  • 36
  • 13
  • 13
  • 12
  • 11
  • 9
  • 7
  • 3
  • 3
  • 1
  • 1
Western Blotting (WB), Immunohistochemistry (IHC)
  • Purpose

    PAK3 Rabbit mAb

    Cross-Reactivity

    Human, Mouse, Rat

    Characteristics

    Monoclonal Antibodies

    Purification

    Affinity purification

    Immunogen

    A synthesized peptide derived from human PAK3

    Isotype

    IgG
  • Application Notes

    WB,1:500 - 1:2000,IHC,1:50 - 1:200

    Restrictions

    For Research Use only
  • Format

    Liquid

    Buffer

    PBS with 0.02 % sodium azide,0.05 % BSA,50 % glycerol, pH 7.3.

    Preservative

    Sodium azide

    Precaution of Use

    This product contains Sodium azide: a POISONOUS AND HAZARDOUS SUBSTANCE which should be handled by trained staff only.

    Storage

    -20 °C

    Storage Comment

    Store at -20°C. Avoid freeze / thaw cycles.
  • Target

    PAK3

    Alternative Name

    PAK3

    Background

    The protein encoded by this gene is a serine-threonine kinase and forms an activated complex with GTP-bound RAS-like (P21), CDC2 and RAC1. This protein may be necessary for dendritic development and for the rapid cytoskeletal reorganization in dendritic spines associated with synaptic plasticity. Defects in this gene are the cause of non-syndromic mental retardation X-linked type 30 (MRX30), also called X-linked mental retardation type 47 (MRX47). Alternatively spliced transcript variants encoding different isoforms have been identified. [provided by RefSeq, Apr 2016],ARA, MRX30, MRX47, OPHN3, PAK-3, PAK3beta, bPAK, beta-PAK,Cell Biology & Developmental Biology,Cytoskeleton_Microtubules,G protein signaling,G protein signaling_Small G proteins,Kinase,Kinase_Serine/threonine kinases,MAPK-Erk Signaling Pathway,Neuroscience,Signal Transduction,TGF-b-Smad Signaling Pathway,PAK3

    Molecular Weight

    62kDa

    Gene ID

    5063

    UniProt

    O75914
You are here:
Chat with us!