Phone:
+1 877 302 8632
Fax:
+1 888 205 9894 (Toll-free)
E-Mail:
orders@antibodies-online.com

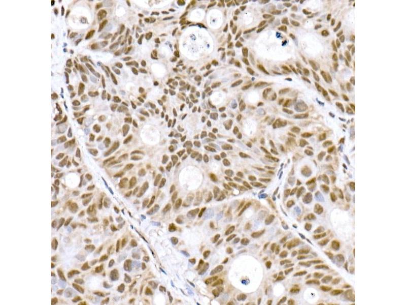
PRDM9 antibody

The Rabbit Monoclonal anti-PRDM9 antibody is suitable to detect PRDM9 in samples from Mouse. It has been validated for WB and IHC.
Catalog No. ABIN7269500
$393.00
Plus shipping costs $50.00
Shipping to: United States
Delivery in 7 to 10 Business Days

Quick Overview for PRDM9 antibody (ABIN7269500)

Target

See all PRDM9 Antibodies
PRDM9 (PR Domain Containing 9 (PRDM9))

Reactivity

  • 10
  • 4
  • 4
Mouse

Host

  • 10
  • 3
  • 2
Rabbit

Clonality

  • 11
  • 3
  • 1
Monoclonal

Conjugate

  • 12
  • 1
  • 1
  • 1
This PRDM9 antibody is un-conjugated

Application

  • 12
  • 7
  • 6
  • 5
  • 4
  • 4
  • 2
  • 1
  • 1
Western Blotting (WB), Immunohistochemistry (IHC)
  • Purpose

    Prdm9 Rabbit mAb

    Cross-Reactivity

    Human, Mouse, Rat

    Characteristics

    Monoclonal Antibodies

    Purification

    Affinity purification

    Immunogen

    Recombinant protein of mouse Prdm9.

    Isotype

    IgG
  • Application Notes

    WB,1:500 - 1:2000,IHC,1:50 - 1:200

    Restrictions

    For Research Use only
  • Format

    Liquid

    Buffer

    PBS with 0.02 % sodium azide,50 % glycerol, pH 7.3.

    Preservative

    Sodium azide

    Precaution of Use

    This product contains Sodium azide: a POISONOUS AND HAZARDOUS SUBSTANCE which should be handled by trained staff only.

    Storage

    -20 °C

    Storage Comment

    Store at -20°C. Avoid freeze / thaw cycles.
  • Target

    PRDM9 (PR Domain Containing 9 (PRDM9))

    Alternative Name

    Prdm9

    Background

    Rc, re, Dsbc, Rcr1, Dsbc1, Meise, repro7, Meisetz, PRDM9-B, BC012016, G1-419-29,Prdm9

    Molecular Weight

    97kDa

    Gene ID

    213389

    UniProt

    Q96EQ9
You are here:
Chat with us!