Phone:
+1 877 302 8632
Fax:
+1 888 205 9894 (Toll-free)
E-Mail:
orders@antibodies-online.com

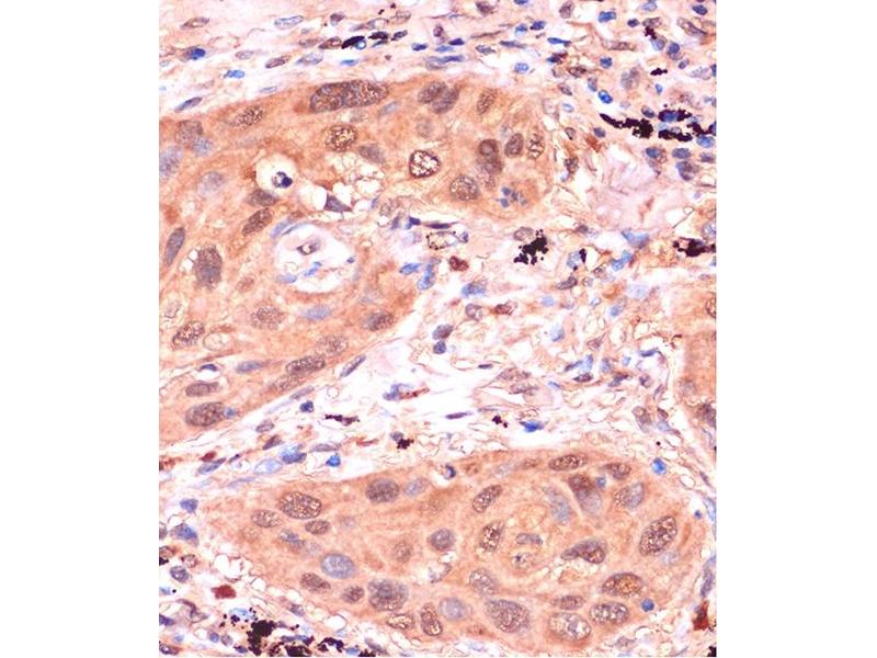
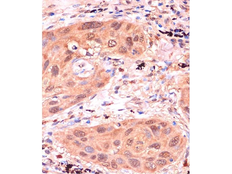
RPP38 antibody (AA 20-110)

The Rabbit Polyclonal anti-RPP38 antibody is suitable to detect RPP38 in samples from Human. It has been validated for WB, IHC and IF.
Catalog No. ABIN7269983
$383.00
Plus shipping costs $50.00
Shipping to: United States
Delivery in 7 to 10 Business Days

Quick Overview for RPP38 antibody (AA 20-110) (ABIN7269983)

Target

See all RPP38 Antibodies
RPP38 (Ribonuclease P/MRP 38kDa Subunit (RPP38))

Reactivity

  • 18
  • 2
  • 2
  • 2
  • 1
  • 1
  • 1
  • 1
Human

Host

  • 17
  • 1
Rabbit

Clonality

  • 18
Polyclonal

Conjugate

  • 10
  • 2
  • 2
  • 2
  • 1
  • 1
This RPP38 antibody is un-conjugated

Application

  • 14
  • 12
  • 1
  • 1
Western Blotting (WB), Immunohistochemistry (IHC), Immunofluorescence (IF)
You are here:
Chat with us!