Phone:
+1 877 302 8632
Fax:
+1 888 205 9894 (Toll-free)
E-Mail:
orders@antibodies-online.com

RPL24 antibody (AA 38-157)

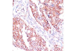
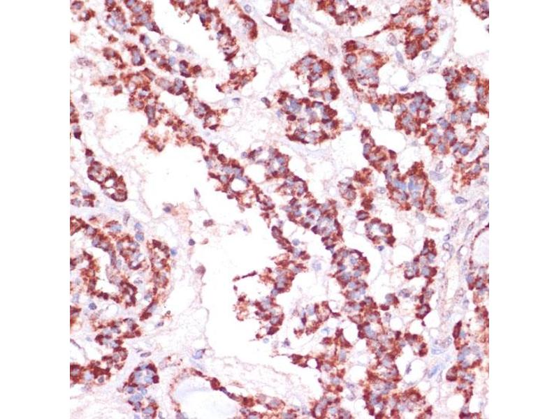
The Rabbit Polyclonal anti-RPL24 antibody is suitable to detect RPL24 in samples from Human. It has been validated for WB, IHC and IF.
Catalog No. ABIN7269998
$383.00
Plus shipping costs $50.00
Shipping to: United States
Delivery in 7 to 10 Business Days

Quick Overview for RPL24 antibody (AA 38-157) (ABIN7269998)

Target

See all RPL24 Antibodies
RPL24 (Ribosomal Protein L24 (RPL24))

Reactivity

  • 14
  • 7
  • 7
  • 2
  • 2
  • 2
  • 2
  • 1
  • 1
  • 1
  • 1
  • 1
  • 1
  • 1
Human

Host

  • 14
Rabbit

Clonality

  • 14
Polyclonal

Conjugate

  • 11
  • 1
  • 1
  • 1
This RPL24 antibody is un-conjugated

Application

  • 9
  • 7
  • 6
  • 5
  • 3
  • 1
  • 1
Western Blotting (WB), Immunohistochemistry (IHC), Immunofluorescence (IF)
  • Binding Specificity

    • 5
    • 1
    • 1
    • 1
    • 1
    AA 38-157

    Purpose

    RPL24 Rabbit pAb

    Sequence

    SAFLSKRNPR QINWTVLYRR KHKKGQSEEI QKKRTRRAVK FQRAITGASL ADIMAKRNQK PEVRKAQREQ AIRAAKEAKK AKQASKKTAM AAAKAPTKAA PKQKIVKPVK VSAPRVGGKR

    Cross-Reactivity

    Human, Mouse, Rat

    Characteristics

    Polyclonal Antibodies

    Purification

    Affinity purification

    Immunogen

    Recombinant fusion protein containing a sequence corresponding to amino acids 38-157 of human RPL24 (NP_000977.1).

    Isotype

    IgG
  • Application Notes

    WB,1:500 - 1:2000,IHC,1:50 - 1:200,IF,1:50 - 1:100

    Restrictions

    For Research Use only
  • Format

    Liquid

    Buffer

    PBS with 0.02 % sodium azide,50 % glycerol, pH 7.3.

    Preservative

    Sodium azide

    Precaution of Use

    This product contains Sodium azide: a POISONOUS AND HAZARDOUS SUBSTANCE which should be handled by trained staff only.

    Storage

    -20 °C

    Storage Comment

    Store at -20°C. Avoid freeze / thaw cycles.
  • Target

    RPL24 (Ribosomal Protein L24 (RPL24))

    Alternative Name

    RPL24

    Background

    Ribosomes, the organelles that catalyze protein synthesis, consist of a small 40S subunit and a large 60S subunit. Together these subunits are composed of 4 RNA species and approximately 80 structurally distinct proteins. This gene encodes a ribosomal protein that is a component of the 60S subunit. The protein belongs to the L24E family of ribosomal proteins. It is located in the cytoplasm. This gene has been referred to as ribosomal protein L30 because the encoded protein shares amino acid identity with the L30 ribosomal proteins from S. cerevisiae, however, its official name is ribosomal protein L24. As is typical for genes encoding ribosomal proteins, there are multiple processed pseudogenes of this gene dispersed through the genome.,RPL24,HEL-S-310,L24,Epigenetics & Nuclear Signaling,RNA Binding,RPL24

    Molecular Weight

    17kDa

    Gene ID

    6152

    UniProt

    P83731

    Pathways

    Ribonucleoprotein Complex Subunit Organization, Ribosome Assembly
You are here:
Chat with us!