ASH2L antibody
Quick Overview for ASH2L antibody (ABIN7270266)
Target
See all ASH2L AntibodiesReactivity
Host
Clonality
Conjugate
Application
-
-
Purpose
- ASH2L Rabbit mAb
-
Cross-Reactivity
- Human, Mouse, Rat
-
Characteristics
- Monoclonal Antibodies
-
Purification
- Affinity purification
-
Immunogen
- A synthesized peptide derived from human ASH2L
-
Isotype
- IgG
-
-
-
-
Application Notes
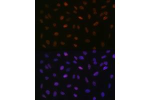
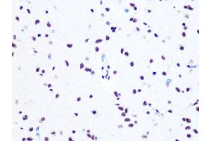
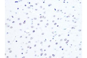
- WB,1:500 - 1:2000,IHC,1:50 - 1:200,IF,1:50 - 1:200
-
Restrictions
- For Research Use only
-
-
-
Format
- Liquid
-
Buffer
- PBS with 0.02 % sodium azide,0.05 % BSA,50 % glycerol, pH 7.3.
-
Preservative
- Sodium azide
-
Precaution of Use
- This product contains Sodium azide: a POISONOUS AND HAZARDOUS SUBSTANCE which should be handled by trained staff only.
-
Storage
- -20 °C
-
Storage Comment
- Store at -20°C. Avoid freeze / thaw cycles.
-
-
- ASH2L (Set1/Ash2 Histone Methyltransferase Complex Subunit ASH2 (ASH2L))
-
Alternative Name
- ASH2L
-
Background
- Transcriptional regulator. Component or associated component of some histone methyltransferase complexes which regulates transcription through recruitment of those complexes to gene promoters. Component of the Set1/Ash2 histone methyltransferase (HMT complex, a complex that specifically methylates 'Lys-4' of histone H3, but not if the neighboring 'Lys-9' residue is already methylated. As part of the MLL1/MLL complex it is involved in methylation and dimethylation at 'Lys-4' of histone H3. May play a role in hematopoiesis. In association with RBBP5 and WDR5, stimulates the histone methyltransferase activities of KMT2A, KMT2B, KMT2C, KMT2D, SETD1A and SETD1B.,ASH2, ASH2L1, ASH2L2, Bre2,Cancer,Chromatin Remodeling,Epigenetics & Nuclear Signaling,ASH2L
-
Molecular Weight
- 69kDa
-
Gene ID
- 9070
-
UniProt
- Q9UBL3
Target
-