SAMM50
Reactivity: Human
WB, ELISA
Host: Rabbit
Polyclonal
unconjugated
Application Notes
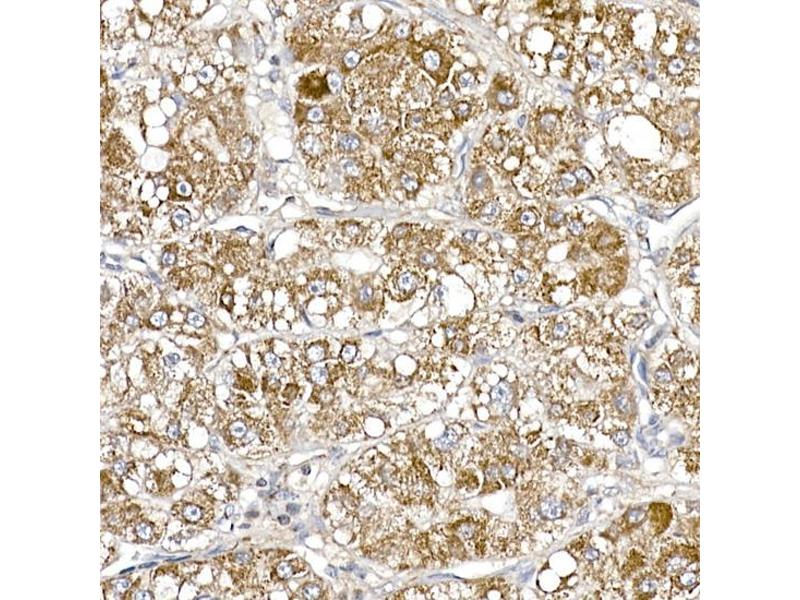
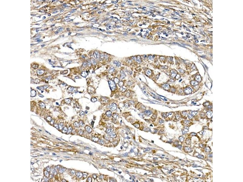
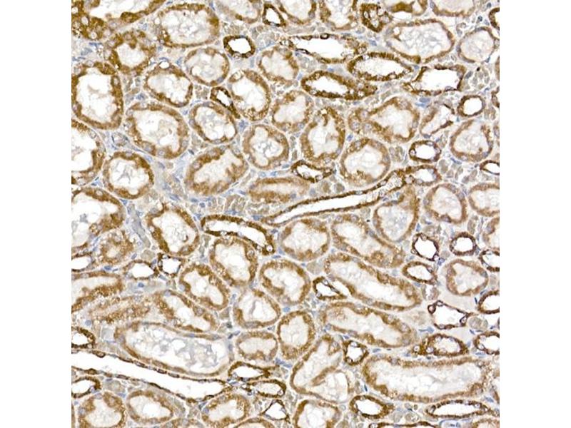
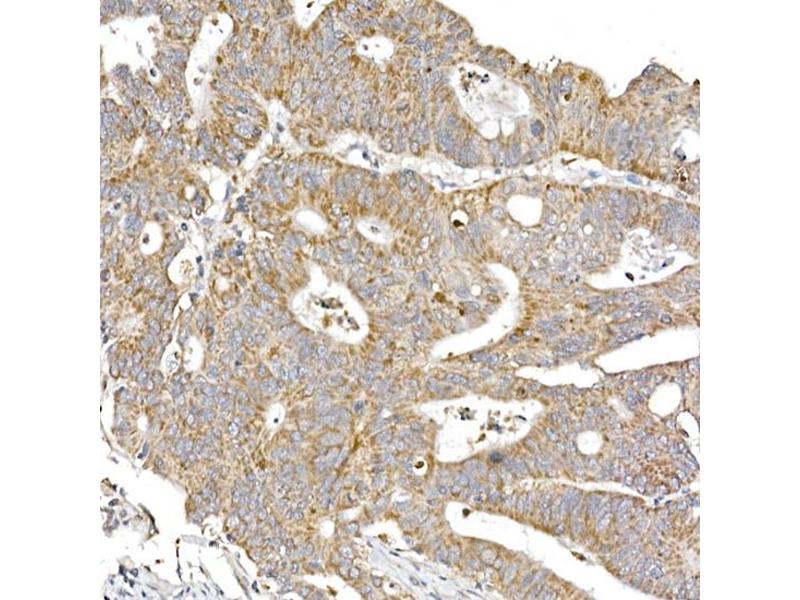
WB,1:500 - 1:2000,IHC,1:50 - 1:200
Restrictions
For Research Use only
Format
Liquid
Buffer
PBS with 0.02 % sodium azide,50 % glycerol, pH 7.3.
Preservative
Sodium azide
Precaution of Use
This product contains Sodium azide: a POISONOUS AND HAZARDOUS SUBSTANCE which should be handled by trained staff only.
Storage
-20 °C
Storage Comment
Store at -20°C. Avoid freeze / thaw cycles.
Target
SAMM50
(Sorting and Assembly Machinery Component 50 Homolog (SAMM50))
Alternative Name
SAMM50
Background
This gene encodes a component of the Sorting and Assembly Machinery (SAM) of the mitochondrial outer membrane. The Sam complex functions in the assembly of beta-barrel proteins into the outer mitochondrial membrane.,SAMM50, CGI-51, OMP85, SAM50, TOB55, TRG-3, YNL026W, SAMM50 sorting and assembly machinery component,Cancer,Signal Transduction,Endocrine & Metabolism,Mitochondrial metabolism,Mitochondrial markers,SAMM50